ABCC5 Antibody
-
中文名稱:ABCC5兔多克隆抗體
-
貨號:CSB-PA001064LA01HU
-
規格:¥440
-
圖片:
-
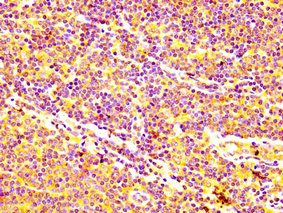
IHC image of CSB-PA001064LA01HU diluted at 1:400 and staining in paraffin-embedded human lymph node tissue performed on a Leica BondTM system. After dewaxing and hydration, antigen retrieval was mediated by high pressure in a citrate buffer (pH 6.0). Section was blocked with 10% normal goat serum 30min at RT. Then primary antibody (1% BSA) was incubated at 4°C overnight. The primary is detected by a biotinylated secondary antibody and visualized using an HRP conjugated SP system.
-
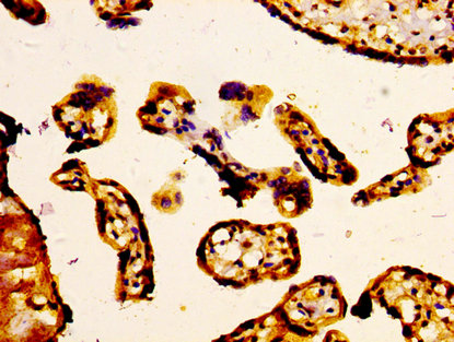
IHC image of CSB-PA001064LA01HU diluted at 1:400 and staining in paraffin-embedded human placenta tissue performed on a Leica BondTM system. After dewaxing and hydration, antigen retrieval was mediated by high pressure in a citrate buffer (pH 6.0). Section was blocked with 10% normal goat serum 30min at RT. Then primary antibody (1% BSA) was incubated at 4°C overnight. The primary is detected by a biotinylated secondary antibody and visualized using an HRP conjugated SP system.
-
Immunofluorescence staining of PC-3 cells with CSB-PA001064LA01HU at 1:133, counter-stained with DAPI. The cells were fixed in 4% formaldehyde, permeabilized using 0.2% Triton X-100 and blocked in 10% normal Goat Serum. The cells were then incubated with the antibody overnight at 4°C. The secondary antibody was Alexa Fluor 488-congugated AffiniPure Goat Anti-Rabbit IgG(H+L).
-
-
其他:
產品詳情
-
產品名稱:Rabbit anti-Homo sapiens (Human) ABCC5 Polyclonal antibody
-
Uniprot No.:
-
基因名:
-
別名:ABC 33 antibody; ABC33 antibody; ABCC 5 antibody; Abcc5 antibody; ATP binding cassette sub family C (CFTR/MRP) member 5 antibody; ATP binding cassette sub family C member 5 antibody; ATP-binding cassette sub-family C member 5 antibody; Canalicular multispecific organic anion transporter C antibody; DKFZp686C1782 antibody; EST277145 antibody; MOAT C antibody; MOAT-C antibody; MOATC antibody; MRP 5 antibody; MRP5_HUMAN antibody; Multi specific organic anion tranporter C antibody; Multi-specific organic anion transporter C antibody; Multidrug resistance associated protein 5 antibody; Multidrug resistance-associated protein 5 antibody; pABC 11 antibody; pABC11 antibody; SMRP antibody
-
宿主:Rabbit
-
反應種屬:Human
-
免疫原:Recombinant Human Multidrug resistance-associated protein 5 protein (455-566AA)
-
免疫原種屬:Homo sapiens (Human)
-
標記方式:Non-conjugated
本頁面中的產品,ABCC5 Antibody (CSB-PA001064LA01HU),的標記方式是Non-conjugated。對于ABCC5 Antibody,我們還提供其他標記。見下表:
-
克隆類型:Polyclonal
-
抗體亞型:IgG
-
純化方式:>95%, Protein G purified
-
濃度:It differs from different batches. Please contact us to confirm it.
-
保存緩沖液:Preservative: 0.03% Proclin 300
Constituents: 50% Glycerol, 0.01M PBS, pH 7.4 -
產品提供形式:Liquid
-
應用范圍:ELISA, IHC, IF
-
推薦稀釋比:
Application Recommended Dilution IHC 1:200-1:500 IF 1:50-1:200 -
Protocols:
-
儲存條件:Upon receipt, store at -20°C or -80°C. Avoid repeated freeze.
-
貨期:Basically, we can dispatch the products out in 1-3 working days after receiving your orders. Delivery time maybe differs from different purchasing way or location, please kindly consult your local distributors for specific delivery time.
-
用途:For Research Use Only. Not for use in diagnostic or therapeutic procedures.
相關產品
靶點詳情
-
功能:ATP-dependent transporter of the ATP-binding cassette (ABC) family that actively extrudes physiological compounds, and xenobiotics from cells. Mediates ATP-dependent transport of endogenous metabolites such as cAMP and cGMP, folic acid and N-lactoyl-amino acids (in vitro). Acts also as a general glutamate conjugate and analog transporter that can limit the brain levels of endogenous metabolites, drugs, and toxins. Confers resistance to the antiviral agent PMEA. Able to transport several anticancer drugs including methotrexate, and nucleotide analogs in vitro, however it does with low affinity, thus the exact role of ABCC5 in mediating resistance still needs to be elucidated. Acts as a heme transporter required for the translocation of cytosolic heme to the secretory pathway. May play a role in energy metabolism by regulating the glucagon-like peptide 1 (GLP-1) secretion from enteroendocrine cells.
-
基因功能參考文獻:
- ABCC5 polymorphisms may explain partially the interpatient variability in doxorubicin disposition. PMID: 26975227
- This study is the first to identify the roles of FOXM1 in drug efflux and paclitaxel resistance by regulating the gene transcription of abcc5, one of the ABC transporters. Small molecular inhibitors of FOXM1 or ABCC5 have the potential to overcome paclitaxel chemoresistance in nasopharyngeal carcinoma (NPC)patients. PMID: 28277541
- These findings enrich the allelic spectrum of ABCC5 in PACG. We identified no tagging SNP responsible for the association of the whole region. PMID: 28813580
- Survivors of childhood acute lymphoblastic leukemia treated with doxorubicin with the ABCC5 TT-1629 genotype had an average of 8-12% reduction of ventricular ejection and shortening fractions. PMID: 26345518
- our work indicated that decreased SLC34A2 expression sensitized BCSCs to doxorubicin via SLC34A2-Bmi1-ABCC5 signaling and shed new light on understanding the mechanism of chemoresistance in BCSCs. This study not only bridges the missing link between stem cell-related transcription factor (Bmi1) and ABC transporter (ABCC5) but also contributes to development of potential therapeutics against breast cancer. PMID: 26546432
- Deletions of ABCC5 predict good tumor response to neoadjuvant chemotherapy in breast cancer. PMID: 26799285
- genetic association study in population in Mexico: Data suggest SNPs in ABCC5 (3933+313T>C) are not associated with adverse reactions to methotrexate; they protect against myelosuppression in pediatric patients with ALL (acute lymphoblastic leukemia). PMID: 26353179
- We identified several genes (FasL, MSH2, ABCC5, CASP3, and CYP3A4)that showed association with PFS in patients with osteosarcoma. These pharmacogenetic risk factors might be useful to predict treatment outcome PMID: 25829401
- ABCC5 is a general glutamate conjugate and analog transporter that affects the disposition of endogenous metabolites, toxins, and drugs. PMID: 26515061
- The present study investigated the time course and dose dependency of the induction of three efflux proteins, P-gp, MRP1 and MRP5, in response to gemcitabine exposure in Capan-2 pancreatic cancer cell line at transcriptional and translational levels. PMID: 25564970
- cCMP is a substrate for MRP5 PMID: 25017019
- The blockade of ABC transporter MRP5 could help to improve drug effectiveness, reduce tumour growth and prevent recurrence in glioblastoma multiforme. PMID: 25028266
- To identify substrates of orphan transporter ATP-binding cassette subfamily C member 5 (ABCC5), identified a class of metabolites, N-lactoyl-amino acids, and found that a protease, cytosolic nonspecific dipeptidase 2 (CNDP2), catalyzes their formation. PMID: 25964343
- ABCC5 transporter is a novel type 2 diabetes susceptibility gene in European and African American populations. PMID: 25117150
- ABCC5 functions as a mediator of breast cancer skeletal metastasis. ABCC5 expression in breast cancer cells is important for efficient osteoclast-mediated bone resorption. PMID: 23174366
- This locus was associated with an increase in risk of PACG in a separate case-control study of 4,276 primary angle closure glaucoma cases and 18,801 controls (per-allele OR = 1.13 [95% CI: 1.06-1.22], P = 0.00046). PMID: 24603532
- Further research is needed to clarify whether MRP5 is indicative of malignant pathological features in meningiomas and whether possible therapeutic implications exist PMID: 23271324
- PDE5 is highly expressed and increases ( approximately 130%) during growth whereas ABCC5 exhibited low to moderate expression, with a moderate increase ( approximately 40%) during growth PMID: 22843873
- The present results imply that MRP5 index may hold a prognostic role in patients with glioblastoma multiforme PMID: 22278731
- Findings show that the gene expression of ATP-dependent efflux transporters MRP1, -3, -4, -5, and p-gp fluctuated during stem cell-derived retinal pigment epithelial cells (hESC-RPE) maturation. PMID: 22272278
- This gene-wide tagging study revealed no association between ABCC2, ABCC5 and ABCG2 genetic polymorphisms and multidrug resistance in epilepsy PMID: 21449672
- Results support the idea that isolating survivin and MRP5+ CTCs may help in the selection of metastatic colorectal cancer patients resistant to standard 5-FU and L-OHP based chemotherapy, for which alternative regimens may be appropriate. PMID: 20597995
- Results identify key membrane transporters OATP2B1, MRP1, MRP4, and MRP5 as modulators of skeletal muscle statin exposure and toxicity. PMID: 19940267
- MDR1, MRP2, MRP3 and MRP5 levels are decreased by tetramethylpyrazine in human hepatocellular carcinoma cells PMID: 19956884
- Sodium influx is not directly coupled to MRP4/5-mediated cyclic nucleotide efflux, is independent of the status of transporter activity, and determines the baseline membrane potential, which in turns modulates MRP4/5-mediated cyclic nucleotide efflux. PMID: 19903828
- MRP4 and MRP5 are low affinity cyclic nucleotide transporters that may at best function as overflow pumps, decreasing steep increases in cGMP levels under conditions where cGMP synthesis is strongly induced and phosphodiesterase activity is limiting PMID: 12637526
- MRP1 and MRP5 increase with trophoblast maturation, suggesting a particular role for these proteins in the organ functional developmen PMID: 12646196
- the affinity of MRP4 and MRP5 for nucleotide-based substrates is low. PMID: 12695538
- Localized in cardiac and cardiovascular myocytes as well as endothelial cells with increased expression in ischemic cardiomyopathy. MRP5-mediated cellular export may represent novel, disease-dependent pathway for cGMP removal from cardiac cells. PMID: 14507663
- MRP5 expression depends on gestational age and varies throughout the differentiation process. PMID: 15631998
- Upregulation of MRP5 expression is associated with pancreatic carcinoma PMID: 15688370
- analysis of linkage disequilibrium at the nucleotide analogue transporter ABCC5 gene locus PMID: 15861033
- Plant flavonoids were able to reverse drug resistance in human cells transfected with ABCC5 PMID: 16156793
- We have isolated three novel ABCC5 splice variants and characterized their role in the regulation of ABCC5 gene expression. One ABCC5 splice variant produces a truncated ABCC5 protein isoform with thus far unknown functional properties in the retina. PMID: 17521428
- cGMP may be a physiological regulator of hyaluronan export at the level of the export MRP5 PMID: 17540771
- analysis of the outward facing state of the human P-glycoprotein (ABCB1), and comparison to a model of the human MRP5 (ABCC5) PMID: 17803828
- Celecoxib upregulates MRP5 in colon cancer and results in lack of synergy with standard chemotherapy. PMID: 18690847
- MRP3, MRP4, and MRP5 are upregulated in 5-fluorouracil-resistant cells, and MRP5 contributes to 5-FU resistance in pancreatic carcinoma cells. PMID: 19077464
顯示更多
收起更多
-
亞細胞定位:Basolateral cell membrane; Multi-pass membrane protein. Golgi apparatus lumen. Endosome membrane. Cytoplasmic granule. Apical cell membrane; Multi-pass membrane protein.
-
蛋白家族:ABC transporter superfamily, ABCC family, Conjugate transporter (TC 3.A.1.208) subfamily
-
組織特異性:[Isoform 3]: Predominant isoform in retinal pigment epithelium, bladder, and stomach.; Ubiquitously expressed, but levels in brain and muscle are especially high. All isoforms are equally expressed in retina.
-
數據庫鏈接:
Most popular with customers
-
-
YWHAB Recombinant Monoclonal Antibody
Applications: ELISA, WB, IHC, IF, FC
Species Reactivity: Human, Mouse, Rat
-
Phospho-YAP1 (S127) Recombinant Monoclonal Antibody
Applications: ELISA, WB, IHC
Species Reactivity: Human
-
-
-
-
-















