AAK1 Antibody
-
中文名稱:AAK1兔多克隆抗體
-
貨號:CSB-PA183703
-
規格:¥2024
-
圖片:
-
Gel: 10%SDS-PAGE Lysate: 30 ug Human fetal brain tissue lysate Primary antibody: 1/500 dilution Secondary antibody: Donkey anti Rabbit IgG - H&L (HRP) at 1/3000 dilution Exposure time: 30 seconds
-
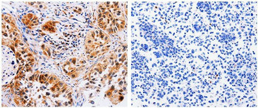
The image on the left is immunohistochemistry of paraffin-embedded Human lung cancer tissue using 31024 (AAK1 Antibody) at dilution 1/30, on the right is treated with the fusion protein.
-
-
其他:
產品詳情
-
產品名稱:Rabbit anti-Homo sapiens (Human) AAK1 Polyclonal antibody
-
Uniprot No.:
-
基因名:AAK1
-
別名:AAK 1 antibody; Aak1 antibody; AAK1_HUMAN antibody; Adaptor associated kinase 1 antibody; Adaptor-associated kinase 1 antibody; AP2 associated kinase 1 antibody; AP2 associated protein kinase 1 antibody; AP2-associated protein kinase 1 antibody; DKFZp686F03202 antibody; DKFZp686K16132 antibody; FLJ23712 antibody; FLJ25931 antibody; FLJ31060 antibody; FLJ42882 antibody; FLJ45252 antibody; KIAA1048 antibody; MGC138170 antibody; MGC164568 antibody; MGC164570 antibody
-
宿主:Rabbit
-
反應種屬:Human,Mouse,Rat
-
免疫原:Fusion protein corresponding to N terminal 236 amino acids of Human Adaptor-associated protein kinase 1
-
免疫原種屬:Homo sapiens (Human)
-
克隆類型:Polyclonal
-
濃度:It differs from different batches. Please contact us to confirm it.
-
產品提供形式:Liquid
-
應用范圍:ELISA,WB,IHC
-
推薦稀釋比:
Application Recommended Dilution WB 1:500-1:1000 IHC 1:50-1:200 -
Protocols:
-
儲存條件:Upon receipt, store at -20°C or -80°C. Avoid repeated freeze.
-
貨期:Basically, we can dispatch the products out in 1-3 working days after receiving your orders. Delivery time maybe differs from different purchasing way or location, please kindly consult your local distributors for specific delivery time.
-
用途:For Research Use Only. Not for use in diagnostic or therapeutic procedures.
相關產品
靶點詳情
-
功能:Regulates clathrin-mediated endocytosis by phosphorylating the AP2M1/mu2 subunit of the adaptor protein complex 2 (AP-2) which ensures high affinity binding of AP-2 to cargo membrane proteins during the initial stages of endocytosis. Isoform 1 and isoform 2 display similar levels of kinase activity towards AP2M1. Preferentially, may phosphorylate substrates on threonine residues. Regulates phosphorylation of other AP-2 subunits as well as AP-2 localization and AP-2-mediated internalization of ligand complexes. Phosphorylates NUMB and regulates its cellular localization, promoting NUMB localization to endosomes. Binds to and stabilizes the activated form of NOTCH1, increases its localization in endosomes and regulates its transcriptional activity.; (Microbial infection) By regulating clathrin-mediated endocytosis, AAK1 plays a role in the entry of hepatitis C virus as well as for the lifecycle of other viruses such as Ebola and Dengue.
-
基因功能參考文獻:
- Results present the first structures of AAK1 and BIKE which reveal that all members of the Numb-associated kinase family share unusual activation segment architecture. PMID: 26853940
- Two of these kinases that were classified as resistors were PX domain-containing serine/threonine kinase (PXK) and AP2-associated kinase 1 (AAK1), which promote receptor endocytosis and may enable cells to resist TRAIL-induced apoptosis PMID: 25852190
- AAK1 and GAK are critical regulators of HCV entry that function in part by activating EGFR, AP2M1, and NUMB, and as the molecular targets underlying the antiviral effect of sunitinib and erlotinib, respectively. PMID: 25653444
- AAK1 increases the localization of activated Notch to Rab5-positive endocytic vesicles, while AAK1 depletion or overexpression of Numb, an inhibitor of the pathway, interferes with this localization. PMID: 21464124
- These observations suggest that AAK1 functions at multiple steps of the endosomal pathway by regulating transferrin internalization and its rapid recycling back to the plasma membrane from early/sorting endosome. PMID: 17494869
顯示更多
收起更多
-
亞細胞定位:Cell membrane; Peripheral membrane protein. Membrane, clathrin-coated pit. Cell junction, synapse, presynapse.
-
蛋白家族:Protein kinase superfamily, Ser/Thr protein kinase family
-
組織特異性:Detected in brain, heart and liver. Isoform 1 is the predominant isoform in brain.
-
數據庫鏈接:
Most popular with customers
-
-
YWHAB Recombinant Monoclonal Antibody
Applications: ELISA, WB, IHC, IF, FC
Species Reactivity: Human, Mouse, Rat
-
Phospho-YAP1 (S127) Recombinant Monoclonal Antibody
Applications: ELISA, WB, IHC
Species Reactivity: Human
-
-
-
-
-















