AADAC Antibody
-
中文名稱:AADAC兔多克隆抗體
-
貨號:CSB-PA928876
-
規格:¥1100
-
圖片:
-
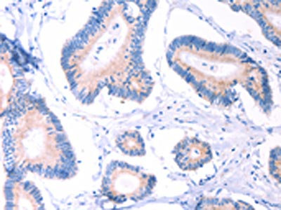
The image on the left is immunohistochemistry of paraffin-embedded Human colon cancer tissue using CSB-PA928876(AADAC Antibody) at dilution 1/30, on the right is treated with fusion protein. (Original magnification: ×200)
-
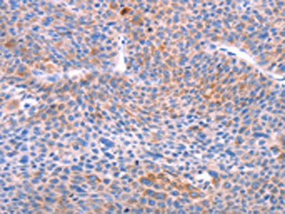
The image on the left is immunohistochemistry of paraffin-embedded Human liver cancer tissue using CSB-PA928876(AADAC Antibody) at dilution 1/30, on the right is treated with fusion protein. (Original magnification: ×200)
-
Gel: 10%SDS-PAGE, Lysate: 40 μg, Lane 1-2: Human fetal liver tissue, Human liver cancer tissue, Primary antibody: CSB-PA928876(AADAC Antibody) at dilution 1/550, Secondary antibody: Goat anti rabbit IgG at 1/8000 dilution, Exposure time: 1 minute
-
-
其他:
產品詳情
-
Uniprot No.:
-
基因名:AADAC
-
別名:AAAD_HUMAN antibody; Aada antibody; Aadac antibody; Arylacetamide deacetylase (esterase) antibody; Arylacetamide deacetylase antibody; CES5A1 antibody; DAC antibody
-
宿主:Rabbit
-
反應種屬:Human
-
免疫原:Fusion protein of Human AADAC
-
免疫原種屬:Homo sapiens (Human)
-
標記方式:Non-conjugated
-
抗體亞型:IgG
-
純化方式:Antigen affinity purification
-
濃度:It differs from different batches. Please contact us to confirm it.
-
保存緩沖液:-20°C, pH7.4 PBS, 0.05% NaN3, 40% Glycerol
-
產品提供形式:Liquid
-
應用范圍:ELISA,WB,IHC
-
推薦稀釋比:
Application Recommended Dilution ELISA 1:2000-1:5000 WB 1:500-1:2000 IHC 1:25-1:100 -
Protocols:
-
儲存條件:Upon receipt, store at -20°C or -80°C. Avoid repeated freeze.
-
貨期:Basically, we can dispatch the products out in 1-3 working days after receiving your orders. Delivery time maybe differs from different purchasing way or location, please kindly consult your local distributors for specific delivery time.
-
用途:For Research Use Only. Not for use in diagnostic or therapeutic procedures.
相關產品
靶點詳情
-
功能:Displays cellular triglyceride lipase activity in liver, increases the levels of intracellular fatty acids derived from the hydrolysis of newly formed triglyceride stores and plays a role in very low-density lipoprotein assembly. Displays serine esterase activity in liver. Deacetylates a variety of arylacetamide substrates, including xenobiotic compounds and procarcinogens, converting them to the primary arylamide compounds and increasing their toxicity.
-
基因功能參考文獻:
- that the AADAC gene c.361+1G>A variant may be a potential candidate factor for Tourette syndrome development PMID: 29253601
- Data suggest that AADAC in hepatocyte microsomes hydrolyzes ketoconazole, a synthetic imidazole antifungal agent, to N-deacetyl ketoconazole and thus triggers hepatocellular toxicity. PMID: 27422753
- AADAC deletion is a candidate susceptibility factor for Gilles de la Tourette Syndrome PMID: 26444075
- Translational N-glycosylation of AADAC plays a crucial role in regulating AADAC enzyme activity. PMID: 24125761
- Lipolysis of cellular TG and VLDL production were impaired in HCV infected cells during the early peak of viral infection. This was partially explained by an apparent deficiency of a putative TG lipase, arylacetamide deacetylase (AADAC). PMID: 23542347
- An AADAC*3 allele yields decreased enzyme activity in liver microsomes. PMID: 22415931
- human AADAC was the enzyme responsible for the deacetylation of rifamycins and would affect the induction rate of drug-metabolizing enzymes by rifamycins and their induced hepatotoxicity. PMID: 21856291
- Clinical trial of gene-disease association and gene-environment interaction. (HuGE Navigator) PMID: 20379614
- two intrinsic endoplasmic reticulum (ER) proteins, 11beta-hydroxysteroid dehydrogenase, isozyme 1 (11beta-HSD) and the 50-kDa esterase (E3), sharing some amino acid sequence motifs in their N-terminal transmembrane (TM) domains. PMID: 10318829
顯示更多
收起更多
-
亞細胞定位:Endoplasmic reticulum membrane; Single-pass type II membrane protein. Microsome membrane; Single-pass type II membrane protein.
-
蛋白家族:'GDXG' lipolytic enzyme family
-
組織特異性:Detected in liver (at protein level). Mainly expressed in liver, small intestine, colon, adrenal gland and bladder.
-
數據庫鏈接:
Most popular with customers
-
-
YWHAB Recombinant Monoclonal Antibody
Applications: ELISA, WB, IHC, IF, FC
Species Reactivity: Human, Mouse, Rat
-
Phospho-YAP1 (S127) Recombinant Monoclonal Antibody
Applications: ELISA, WB, IHC
Species Reactivity: Human
-
-
-
-
-















