A4GNT Antibody
-
中文名稱:A4GNT兔多克隆抗體
-
貨號:CSB-PA001009LA01HU
-
規格:¥440
-
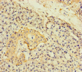
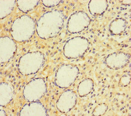
圖片:
-
其他:
產品詳情
-
產品名稱:Rabbit anti-Homo sapiens (Human) A4GNT Polyclonal antibody
-
Uniprot No.:
-
基因名:A4GNT
-
別名:4-N-acetylglucosaminyltransferase antibody; A4GCT_HUMAN antibody; A4GNT antibody; Alpha 1 4 N acetylglucosaminyltransferase antibody; Alpha-1 antibody; Alpha4GnT antibody; EC 2.4.1. antibody; MGC149493 antibody
-
宿主:Rabbit
-
反應種屬:Human
-
免疫原:Recombinant Human Alpha-1,4-N-acetylglucosaminyltransferase protein (26-340AA)
-
免疫原種屬:Homo sapiens (Human)
-
標記方式:Non-conjugated
本頁面中的產品,A4GNT Antibody (CSB-PA001009LA01HU),的標記方式是Non-conjugated。對于A4GNT Antibody,我們還提供其他標記。見下表:
-
克隆類型:Polyclonal
-
抗體亞型:IgG
-
純化方式:>95%, Protein G purified
-
濃度:It differs from different batches. Please contact us to confirm it.
-
保存緩沖液:Preservative: 0.03% Proclin 300
Constituents: 50% Glycerol, 0.01M PBS, PH 7.4 -
產品提供形式:Liquid
-
應用范圍:ELISA, IHC
-
推薦稀釋比:
Application Recommended Dilution IHC 1:20-1:200 -
Protocols:
-
儲存條件:Upon receipt, store at -20°C or -80°C. Avoid repeated freeze.
-
貨期:Basically, we can dispatch the products out in 1-3 working days after receiving your orders. Delivery time maybe differs from different purchasing way or location, please kindly consult your local distributors for specific delivery time.
-
用途:For Research Use Only. Not for use in diagnostic or therapeutic procedures.
相關產品
靶點詳情
-
功能:Catalyzes the transfer of N-acetylglucosamine (GlcNAc) to core 2 branched O-glycans. Necessary for the synthesis of type III mucin which is specifically produced in the stomach, duodenum, and pancreatic duct. May protect against inflammation-associated gastric adenocarcinomas.
-
基因功能參考文獻:
- human alpha1,4-N-acetylglucosaminyltransferase (alpha4GnT) is responsible for O-glycan biosynthesis and has a role in preventing gastric cancer by inhibiting H. pylori infection and also suppressing tumor-promoting inflammation PMID: 22307328
- Up-regulation of alpha-1,4-N-acetylglucosaminyltransferase is associated with pancreatic cancer PMID: 16441422
-
亞細胞定位:Golgi apparatus membrane; Single-pass type II membrane protein.
-
蛋白家族:Glycosyltransferase 32 family
-
組織特異性:Detected in stomach and pancreas.
-
數據庫鏈接:
Most popular with customers
-
YWHAB Recombinant Monoclonal Antibody
Applications: ELISA, WB, IHC, IF, FC
Species Reactivity: Human, Mouse, Rat
-
Phospho-YAP1 (S127) Recombinant Monoclonal Antibody
Applications: ELISA, WB, IHC
Species Reactivity: Human
-
-
-
-
-
-















