TRIM34 Monoclonal Antibody
-
中文名稱:TRIM34 Monoclonal Antibody
-
貨號:CSB-MA192401
-
規格:¥1320
-
圖片:
-
Flow cytometric analysis of TRIM34 expression in HaCaT cells using TRIM34 antibody. Green, isotype control; red, TRIM34.
-
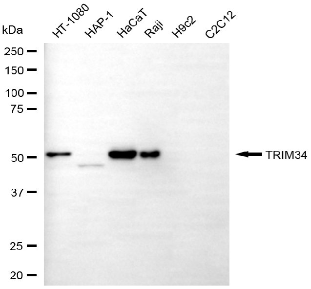
Western blotting analysis using TRIM34 antibody. Total cell lysates (30 μg) from various cell lines were loaded and separated by SDS-PAGE. The blot was incubated with TRIM34 antibody and HRP-conjugated goat anti-mouse secondary antibody respectively.
-
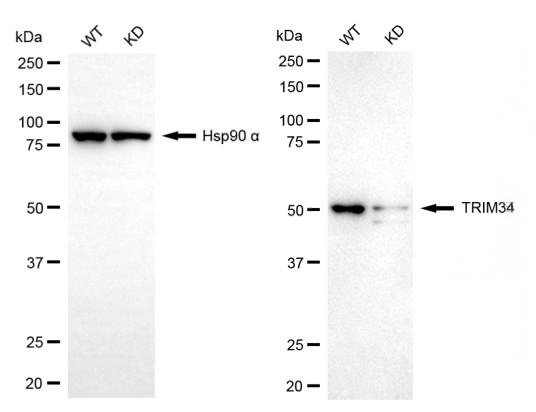
Western blotting analysis using TRIM34 antibody. TRIM34 expression in wild-type (WT) and TRIM34 shRNA knockdown (KD) HeLa cells with 20 μg of total cell lysates. Hsp90 α serves as a loading control. The blot was incubated with TRIM34 antibody and HRP-conjugated goat anti-mouse secondary antibody respectively.
-
-
其他:
產品詳情
-
產品名稱:Mouse anti-Homo sapiens (Human) TRIM34 Monoclonal antibody
-
Uniprot No.:
-
基因名:TRIM34
-
別名:TRIM34; Tripartite Motif Containing 34; RNF21; Interferon-Responsive Finger Protein 1; E3 Ubiquitin-Protein Ligase TRIM34; IFP1; Ring Finger Protein 21, Interferon-Responsive; Tripartite Motif-Containing 34; RING Finger Protein 21; EC 2.3.2.27; EC 6.3.2
-
宿主:Mouse
-
反應種屬:Human
-
免疫原:Recombinant Human TRIM34 protein
-
免疫原種屬:Homo sapiens (Human)
-
標記方式:Non-conjugated
-
克隆類型:Monoclonal
-
抗體亞型:Mouse IgG2a
-
純化方式:Affinity-chromatography
-
克隆號:8C12
-
濃度:It differs from different batches. Please contact us to confirm it.
-
保存緩沖液:PBS (pH 7.4) containing 50% glycerol, and 0.02% sodium azide.
-
產品提供形式:Liquid
-
應用范圍:ELISA, WB, FC
-
推薦稀釋比:
Application Recommended Dilution WB 1:200-1:1000 FC 1:200-1:2000 -
Protocols:
-
儲存條件:Upon receipt, store at -20°C or -80°C. Avoid repeated freeze.
-
貨期:Basically, we can dispatch the products out in 1-3 working days after receiving your orders. Delivery time maybe differs from different purchasing way or location, please kindly consult your local distributors for specific delivery time.
-
用途:For Research Use Only. Not for use in diagnostic or therapeutic procedures.
相關產品
靶點詳情
-
功能:May function as antiviral protein and may contribute to the defense against retroviral infections.
-
基因功能參考文獻:
- Data show there was no distinguished colocalization relationship between the complex of tripartite motif-containing protein 34 (TRIM34)-micronulei and mitochondria. PMID: 27371841
-
亞細胞定位:Cytoplasm.
-
蛋白家族:TRIM/RBCC family
-
組織特異性:[Isoform 1]: is the most abundant form. It is highly expressed in the placenta, spleen, colon and peripheral blood leukocytes.
-
數據庫鏈接:
Most popular with customers
-
-
YWHAB Recombinant Monoclonal Antibody
Applications: ELISA, WB, IHC, IF, FC
Species Reactivity: Human, Mouse, Rat
-
Phospho-YAP1 (S127) Recombinant Monoclonal Antibody
Applications: ELISA, WB, IHC
Species Reactivity: Human
-
-
-
-
-















