TBP Monoclonal Antibody
-
中文名稱:TBP鼠單克隆抗體
-
貨號:CSB-MA437236
-
規格:¥1090
-
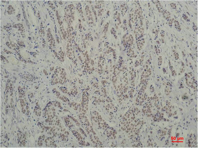
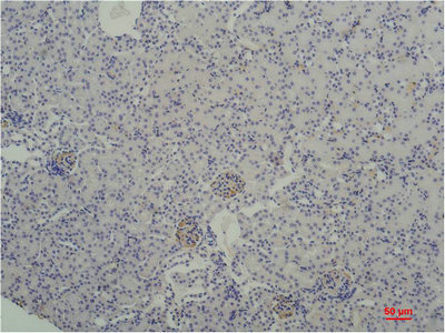
圖片:
-
其他:
產品詳情
-
產品描述:CUSABIO貨號:CSB-MA437236 TBP單克隆抗體是一款由小鼠宿主制備的高特異性科研試劑,靶向TATA-box結合蛋白(TBP),該蛋白作為通用轉錄因子TFIID的核心組分,在真核生物RNA聚合酶II介導的基因轉錄起始中發揮關鍵作用。本產品采用重組人源TBP蛋白作為免疫原,IgG亞型液態制劑可在-20℃或-80℃長期穩定保存,適用于人、小鼠、大鼠多物種樣本的ELISA和免疫組化(IHC)檢測。作為基礎研究工具,該抗體可廣泛應用于轉錄調控機制、基因表達分析、細胞信號通路研究等領域,尤其適用于探索TBP在染色質重塑、啟動子識別及表觀遺傳學中的分子功能。通過嚴格的質控驗證,確??贵w具備高親和力與特異性,滿足分子生物學、腫瘤研究、神經科學等科研場景需求。產品符合國際標準,詳細信息可參考Uniprot數據庫編號P20226(TBP蛋白),別名包括GTF2D1、TF2D、TFIID等,為研究者提供可靠的技術支持。
-
Uniprot No.:
-
基因名:TBP
-
別名:GTF2D antibody; GTF2D1 antibody; HDL4 antibody; MGC117320 antibody; MGC126054 antibody; MGC126055 antibody; SCA17 antibody; TATA binding factor antibody; TATA box factor antibody; TATA sequence binding protein antibody; TATA sequence-binding protein antibody; TATA-binding factor antibody; TATA-box binding protein N-terminal domain antibody; TATA-box factor antibody; TATA-box-binding protein antibody; TBP antibody; TBP_HUMAN antibody; TFIID antibody; Transcription initiation factor TFIID TBP subunit antibody
-
宿主:Mouse
-
反應種屬:Human,Mouse,Rat
-
免疫原:Recombinant Protein
-
免疫原種屬:Homo sapiens (Human)
-
標記方式:Non-conjugated
-
純化方式:The antibody was affinity-purified from mouse ascites by affinity-chromatography using specific immunogen.
-
克隆號:18B7
-
濃度:It differs from different batches. Please contact us to confirm it.
-
保存緩沖液:Liquid in PBS containing 50% glycerol, 0.5% BSA and 0.02% sodium azide.
-
產品提供形式:Liquid
-
應用范圍:ELISA,IHC
-
推薦稀釋比:
Application Recommended Dilution IHC 1:50-1:200 -
Protocols:
-
儲存條件:Upon receipt, store at -20°C or -80°C. Avoid repeated freeze.
-
貨期:Basically, we can dispatch the products out in 1-3 working days after receiving your orders. Delivery time maybe differs from different purchasing way or location, please kindly consult your local distributors for specific delivery time.
-
用途:For Research Use Only. Not for use in diagnostic or therapeutic procedures.
相關產品
靶點詳情
-
功能:General transcription factor that functions at the core of the DNA-binding multiprotein factor TFIID. Binding of TFIID to the TATA box is the initial transcriptional step of the pre-initiation complex (PIC), playing a role in the activation of eukaryotic genes transcribed by RNA polymerase II. Component of a BRF2-containing transcription factor complex that regulates transcription mediated by RNA polymerase III. Component of the transcription factor SL1/TIF-IB complex, which is involved in the assembly of the PIC (pre-initiation complex) during RNA polymerase I-dependent transcription. The rate of PIC formation probably is primarily dependent on the rate of association of SL1 with the rDNA promoter. SL1 is involved in stabilization of nucleolar transcription factor 1/UBTF on rDNA.
-
基因功能參考文獻:
- these studies support the idea that increases in TBP expression contribute to enhanced VEGFA transcription early in colorectal cancer development to drive tumorigenesis. PMID: 28415573
- The genetic animal models of SCA17 clearly indicate that the phenotypes are dependent on the expression levels of mutant TBP and the length of CAG/glutamine repeat. PMID: 27859490
- we observed that carriers of either ATXN7 or TBP alleles with relatively large CAG repeat sizes in both alleles had a substantially increased risk of lifetime depression. PMID: 28585930
- Data indicate the crystal structure of a Brf2-TBP-Bdp1 complex bound to a DNA promoter. PMID: 28743884
- Study could not determine a definitive cutoff value for the pathologic CAG repeat number of SCA17. PMID: 26267067
- TBP attenuates Msx1-mediated glycoprotein hormone alpha transcriptional repression. PMID: 26505791
- this analysis of the 2.2-kb doubly spliced RNA (2.2DS-RNA) -mediated suppression of viral RNA expression showed that 2.2DS-RNA inhibited transcription via binding to the TATA-binding protein and stress granule proteins. PMID: 26339052
- Our results provide first evidence that Taspase1 processing affects TFIIA regulation of TFIID and suggest that Taspase1 processing of TFIIA is required to establish INR-selective core promoter activity in the presence of NC2. PMID: 25996597
- TBP (and GATA2 and Sp1) have key roles in inflammation and ischemia-like conditions through MAOA regulation. PMID: 25810277
- Deactivation of TBP contributes to SCA17 pathogenesis. PMID: 25104854
- HOXA2 acts as a suppressor or TBP-antagonist to inhibit MMP-9 expression; while methylation-mediated inactivation of HOXA2 in NPC derepresses MMP-9 production and increases invasion of NPC cells. PMID: 24243817
- The data reveal synergistic effects of H3K4me3, H3K14ac and a TATA box sequence on TFIID binding in vitro. Stoichiometry analyses of affinity purified human TFIID identified the presence of a stable dimeric core. PMID: 24039962
- The UL4 protein directly interacted with the host TBP and the carboxy-terminal domain of RNA polymerase II in infected cells. PMID: 24418534
- Findings indicate that using TATA-binding protein (TBP) alone or in combination with hydroxymethylbilane synthase (HMBS) as endogenous controls could be a reliable method for normalizing qRT-PCR data in hepatoma cell lines treated with TNF-alpha. PMID: 23811755
- Ethanol increases Pol III transcription through a response element which is composed of the overlapping Elk1 and AP-1 binding sites of the TBP promoter. The binding sites may play a role in ethanol-induced deregulation of Pol III genes in liver tumors. PMID: 23454483
- conclude that the oncoprotein HBXIP as a co-activator of TF II D transactivates Lin28B promoter via directly binding to TBP to upregulate the expression of Lin28B in promotion of proliferation of breast cancer cells PMID: 23494474
- This study showed that five families with SCA17 represents a significant portion of ataxia cases in the population of the Czech Republic. PMID: 22872568
- This study created a first transgenic rat model for SCA17 that carries a full human cDNA fragment of the TBP gene with 64 CAA/CAG repeats (TBPQ64). PMID: 23699518
- effects of promoter TATA-box polymorphisms associated with human diseases on interactions between the TATA boxes and TATA-binding protein PMID: 23424617
- These studies suggest a model in which the distinct conformations of TFIID may serve as targets through which regulatory factors recruit TFIID to specific types of core promoters. PMID: 23332750
- TATA binding protein (TBP) interactions with oligonucleotides PMID: 23062343
- CONCLUSIONS: The current case highlights the diagnostic challenge of neurodegenerative disorders and the need for a thorough clinical and paraclinical examination of patients. PMID: 22889412
- The autosomal dominantly inherited progressive neurodegenerative disorder is caused by an expanded CAA/CAG repeat in the TATA-box binding protein PMID: 17853080
- In Korean population, the mutation frequencies of SCA2 and SCA17 were similar. whereas SCA17 was a more significant cause of parkinsonism. PMID: 21334959
- Expression of the transgenic TBP in Purkinje cells is sufficient to produce cell degeneration and an ataxia phenotype, and constitutes a good model for analysis of neurodegeneration in spinocerebellar ataxia type 17. PMID: 21554323
- This study demonstrated mutant TATA box-binding protein at the endogenous level affects neuronal function, with important implications for the pathogenesis and treatment of polyglutamine diseases. PMID: 21705419
- The data suggest that ICP4 interacts with components of TFIID and Mediator in the context of viral infection. PMID: 21450820
- TBP mutations may be a very rare cause of Parkinson's disease in mainland China PMID: 20864379
- Alcohol induces RNA polymerase III-dependent transcription through c-Jun by co-regulating TATA-binding protein (TBP) and Brf1 expression. PMID: 21106530
- Brain weight correlated with the 'raw' (i.e. non-normalized) data for two mRNAs, beta2-microglobulin and TATA-binding protein, measured in cerebellum and hippocampus, respectively PMID: 20831744
- Regulation of TBP by miR-146a may contribute to Huntington disease pathogenesis. PMID: 20451497
- The DNA bend angle (theta) depends on the TATA sequence, with theta for coreTBP and human TBP being greater than that for yeast TBP. PMID: 19199812
- In lymphoblastoid cells, HSPA5, HSPA8 and HSPB1 expression levels in cells with expanded SCA17 were significantly lower than that of the control cells. PMID: 20004653
- TATA-binding protein-associated factor sharply decrease the rate at which Pol II, TFIIB, and TFIIF assemble on promoter-bound TFIID-TFIIA. PMID: 20083121
- constitutive association of TBP with mitotic chromosomes PMID: 11809839
- TBP can bind the TATA box through a regulated two-step mechanism, involving a transition from unbent complex to bent complex PMID: 11893333
- Developmental specificity of recruitment of TBP to the TATA box of the human gamma-globin gene PMID: 11960008
- Human papillomavirus-16 E7 protein inhibits the DNA interaction of the TATA binding transcription factor. PMID: 11968006
- Data show that TATA-binding protein labelling was relatively more abundant than huntingtin labelling in the brains of Huntington disease patients, and increased with the grade of the disease. PMID: 12531510
- Data show that human TATA box binding protein (TBP) can use a shared surface to interact with two different transcription factor IIB (TFIIB) family members to initiate transcription by different RNA polymerases. PMID: 12535529
- spatial positioning of the DNA-bound activation domain is important for efficient activation, possibly by maximizing its interactions with the transcriptional machinery including the TBP-TFIIA-TFIIB-promoter quaternary complex PMID: 12538582
- TBP expression is elevated in human colon carcinomas relative to normal colon epithelium. Both Ras-dependent and Ras-independent mechanisms mediate increases in TBP expression in colon carcinoma cell lines. PMID: 12697807
- Sequence-dependent solution structure and motions of TBP complexes were studied. PMID: 12767124
- simultaneously binds and bends promoter DNA without a slow isomerization step or TFIIB requirement PMID: 12791683
- Our data provides biochemical evidence that Mediator functions by facilitating activator-mediated recruitment of pol II and also promoter recognition by TBP, both of which can occur in the absence of TBP-associated factors in TFIID PMID: 12917344
- p300 plays a role in formation of the TBP-TFIIA-containing basal transcription complex, TAC. PMID: 12941701
- Results present the X-ray structures of human and yeast TATA box-binding protein /transcription factor IIA/DNA complexes at 2.1A and 1.9A resolution, respectively. PMID: 12972251
- in addition to its role in regulating TBP binding to a TATA box, the TBP surface is unexpectedly involved in TBP association with all three TFIIB family members PMID: 14585974
- abnormal expansions of an allele in SCA8 and SCA17 genes were detected in patients with both Parkinson's disease and spinocerebellar ataxia PMID: 14756671
- Analysis of Spinocerebellar ataxia type 17 (SCA17) locus in a group of ataxic patients excluded on other known SCAs. PMID: 14763955
顯示更多
收起更多
-
相關疾?。?/div>Spinocerebellar ataxia 17 (SCA17)亞細胞定位:Nucleus.蛋白家族:TBP family組織特異性:Widely expressed, with levels highest in the testis and ovary.數據庫鏈接:
Most popular with customers
-
-
YWHAB Recombinant Monoclonal Antibody
Applications: ELISA, WB, IHC, IF, FC
Species Reactivity: Human, Mouse, Rat
-
Phospho-YAP1 (S127) Recombinant Monoclonal Antibody
Applications: ELISA, WB, IHC
Species Reactivity: Human
-
-
-
-
-















