-
中文名稱:PD-L1鼠單克隆抗體
-
貨號:CSB-MA878942A1m
-
規格:¥1320
-
圖片:
-
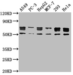
Western Blot
Positive WB detected in: A549 whole cell lysate, PC-3 whole cell lysate, HepG2 whole cell lysate, MCF-7 whole cell lysate, 293 whole cell lysate, Hela whole cell lysate
All lanes: PD-L1 antibody at 1:1000
Secondary
Goat polyclonal to Mouse IgG at 1/10000 dilution
Predicted band size: 34, 21 kDa
Observed band size: 55, 70 kDa -
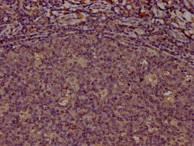
IHC image of CSB-MA878942A1m diluted at 1:100 and staining in paraffin-embedded human tonsil tissue performed on a Leica BondTM system. After dewaxing and hydration, antigen retrieval was mediated by high pressure in a citrate buffer (pH 6.0). Section was blocked with 10% normal goat serum 30min at RT. Then primary antibody (1% BSA) was incubated at 4°C overnight. The primary is detected by a biotinylated secondary antibody and visualized using an HRP conjugated SP system.
-
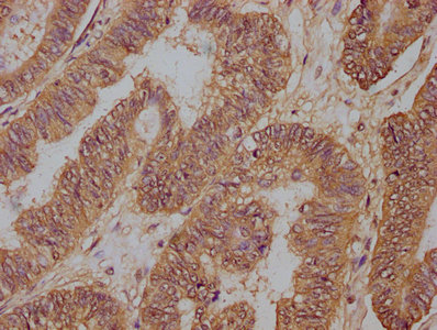
IHC image of CSB-MA878942A1m diluted at 1:100 and staining in paraffin-embedded human colon cancer performed on a Leica BondTM system. After dewaxing and hydration, antigen retrieval was mediated by high pressure in a citrate buffer (pH 6.0). Section was blocked with 10% normal goat serum 30min at RT. Then primary antibody (1% BSA) was incubated at 4°C overnight. The primary is detected by a biotinylated secondary antibody and visualized using an HRP conjugated SP system.
-
Immunofluorescence staining of 293 cells with CSB-MA878942A1m at 1:150, counter-stained with DAPI. The cells were blocked in 10% normal Goat Serum and then incubated with the primary antibody overnight at 4°C. The secondary antibody was Alexa Fluor 488-congugated AffiniPure Goat Anti-Mouse IgG(H+L).
-
Immunofluorescence staining of A549 cells with CSB-MA878942A1m at 1:150, counter-stained with DAPI. The cells were blocked in 10% normal Goat Serum and then incubated with the primary antibody overnight at 4°C. The secondary antibody was Alexa Fluor 488-congugated AffiniPure Goat Anti-Mouse IgG(H+L).
-
Immunofluorescence staining of Hela cells with CSB-MA878942A1m at 1:150, counter-stained with DAPI. The cells were blocked in 10% normal Goat Serum and then incubated with the primary antibody overnight at 4°C. The secondary antibody was Alexa Fluor 488-congugated AffiniPure Goat Anti-Mouse IgG(H+L).
-
Overlay histogram showing 293 cells stained with CSB-MA878942A1m (red line) at 1:300. The cells were incubated in 1x PBS /10% normal goat serum to block non-specific protein-protein interactions followed by primary antibody for 1 h at 4°C. The secondary antibody used was FITC goat anti-mouse IgG(H+L) at 1/200 dilution for 1 h at 4°C. Isotype control antibody (green line) was used under the same conditions. Acquisition of >10,000 events was performed.
-
Overlay histogram showing A549 cells stained with CSB-MA878942A1m (red line) at 1:300. The cells were incubated in 1x PBS /10% normal goat serum to block non-specific protein-protein interactions followed by primary antibody for 1 h at 4°C. The secondary antibody used was FITC goat anti-mouse IgG(H+L) at 1/200 dilution for 1 h at 4°C. Isotype control antibody (green line) was used under the same conditions. Acquisition of >10,000 events was performed.
-
Overlay histogram showing Hela cells stained with CSB-MA878942A1m (red line) at 1:300. The cells were incubated in 1x PBS /10% normal goat serum to block non-specific protein-protein interactions followed by primary antibody for 1 h at 4°C. The secondary antibody used was FITC goat anti-mouse IgG(H+L) at 1/200 dilution for 1 h at 4°C. Isotype control antibody (green line) was used under the same conditions. Acquisition of >10,000 events was performed.
-
-
其他:
產品詳情
-
產品描述:本產品為PD-L1單克隆抗體(CUSABIO貨號:CSB-MA878942A1m),靶向程序性死亡配體1(PD-L1)——一種關鍵的免疫檢查點蛋白,在腫瘤微環境中通過與PD-1受體結合介導免疫抑制,是腫瘤免疫治療研究的重要分子標記物。該抗體經特異性驗證可識別人類PD-L1抗原,適用于酶聯免疫吸附(ELISA)、蛋白質印跡(WB)、免疫組織化學(IHC)、免疫熒光(IF)及流式細胞術(FC)等多種實驗體系,為科研工作者提供高靈敏度和特異性的檢測工具。在腫瘤免疫機制研究中,本產品可精準定位PD-L1在細胞膜或胞內區域的表達分布,支持腫瘤微環境分析、免疫逃逸機制探究及抗體藥物開發等科研場景。其穩定性和批次一致性經過嚴格質控,適用于細胞裂解液、組織切片及體外培養細胞等多種樣本的檢測需求,是探索PD-1/PD-L1信號通路、評估免疫治療響應及開發新型免疫調節劑的可靠科研工具。
-
產品名稱:Mouse anti-Homo sapiens (Human) CD274 Monoclonal antibody
-
Uniprot No.:
-
基因名:
-
別名:B7 H antibody; B7 H1 antibody; B7 homolog 1 antibody; B7-H1 antibody; B7H antibody; B7H1 antibody; CD 274 antibody; CD274 antibody; CD274 antigen antibody; CD274 molecule antibody; MGC142294 antibody; MGC142296 antibody; OTTHUMP00000021029 antibody; PD L1 antibody; PD-L1 antibody; PD1L1_HUMAN antibody; PDCD1 ligand 1 antibody; PDCD1L1 antibody; PDCD1LG1 antibody; PDL 1 antibody; PDL1 antibody; Programmed cell death 1 ligand 1 antibody; Programmed death ligand 1 antibody; RGD1566211 antibody
-
宿主:Mouse
-
反應種屬:Human
-
免疫原:Recombinant Human Programmed cell death 1 ligand 1 protein (19-238AA)
-
免疫原種屬:Homo sapiens (Human)
-
標記方式:Non-conjugated
-
克隆類型:Monoclonal
-
抗體亞型:IgG2b
-
純化方式:>95%, Protein G purified
-
克隆號:14D8C2
-
濃度:It differs from different batches. Please contact us to confirm it.
-
保存緩沖液:Preservative: 0.03% Proclin 300
Constituents: 50% Glycerol, 0.01M PBS, PH 7.4 -
產品提供形式:Liquid
-
應用范圍:ELISA, WB, IHC, IF, FC
-
推薦稀釋比:
Application Recommended Dilution WB 1:1000-1:5000 IHC 1:50-1:200 IF 1:50-1:200 FC 1:100-1:500 -
Protocols:
-
儲存條件:Upon receipt, store at -20°C or -80°C. Avoid repeated freeze.
-
貨期:Basically, we can dispatch the products out in 1-3 working days after receiving your orders. Delivery time maybe differs from different purchasing way or location, please kindly consult your local distributors for specific delivery time.
-
用途:For Research Use Only. Not for use in diagnostic or therapeutic procedures.
引用文獻
- PD-L1 regulates cell proliferation and apoptosis in acute myeloid leukemia by activating PI3K-AKT signaling pathway F Wang,Scientific reports,2022
相關產品
靶點詳情
-
功能:Plays a critical role in induction and maintenance of immune tolerance to self. As a ligand for the inhibitory receptor PDCD1/PD-1, modulates the activation threshold of T-cells and limits T-cell effector response. Through a yet unknown activating receptor, may costimulate T-cell subsets that predominantly produce interleukin-10 (IL10).; The PDCD1-mediated inhibitory pathway is exploited by tumors to attenuate anti-tumor immunity and escape destruction by the immune system, thereby facilitating tumor survival. The interaction with PDCD1/PD-1 inhibits cytotoxic T lymphocytes (CTLs) effector function. The blockage of the PDCD1-mediated pathway results in the reversal of the exhausted T-cell phenotype and the normalization of the anti-tumor response, providing a rationale for cancer immunotherapy.
-
基因功能參考文獻:
- an HBV-pSTAT3-SALL4-miR-200c axis regulates PD-L1 causing T cell exhaustion PMID: 29593314
- hypothesized that an oncolytic poxvirus would attract T cells into the tumour, and induce PD-L1 expression in cancer and immune cells, leading to more susceptible targets for anti-PD-L1 immunotherapy PMID: 28345650
- multivariate Cox hazards regression analysis identified ALCAM and PD-L1 (both P < 0.01) as potential independent risk factors for primary diffuse pleural mesotheliomas PMID: 28811252
- miR-191-5p was identified to have negative correlation with PD-L1 expression and acted as an independent prognostic factor of OS in patients with colon adenocarcinoma. PMID: 30045644
- our findings suggest a regulatory mechanism of PD-L1 through data analysis, in vitro and vivo experiments, which is an important factor of immune evasion in GC cells, and CXCL9/10/11-CXCR3 could regulate PD-L1 expression through STAT and PI3K-Akt signaling pathways in GC cells. PMID: 29690901
- CD163(+)CD204(+) Tumor-associated macrophages possibly play a key role in the invasion and metastasis of oral squamous cell carcinoma by T-cell regulation via IL-10 and PD-L1 production. PMID: 28496107
- Results demonstrated that the expression of PDL1 in colorectal carcinoma tissue was significantly increased compared with the paracancerous tissue. Blocking PDL1 can inhibit tumor growth by activating CD4+ and CD8+ T cells involved in the immune response. PMID: 30272332
- miR-574-3p was identified to potentially regulate PD-L1 expression in chordoma, which inversely correlated with PD-L1. Positive PD-L1 expression on tumor cells was associated with advanced stages and TILs infiltration, whereas decreased miR-574-3p level correlated with higher muscle invasion, more severe tumor necrosis and poor patient survival. PMID: 29051990
- PD-L1 expression was detected in 69% of cases of primary melanoma of the vulva PMID: 28914674
- PD-L1 tumor cell expression is strongly associated with increased HIF-2alpha expression and presence of dense lymphocytic infiltration in clear cell renal cell carcinoma. PMID: 30144808
- Different Signaling Pathways in Regulating PD-L1 Expression in EGFR Mutated Lung Adenocarcinoma PMID: 30454551
- PD-L1, Ki-67, and p53 staining individually had significant prognostic value for patients with stage II and III colorectal cancer PMID: 28782638
- Challenging PD-L1 expressing cytotoxic T cells as a predictor for response to immunotherapy in melanoma PMID: 30050132
- Our results confirm and extend prior studies of PD-L1 and provide new data of PD-L2 expression in lymphomas PMID: 29122656
- Positive PD-L1 expression is indicative of worse clinical outcome in Xp11.2 renal cell carcinoma. PMID: 28522811
- PD-L1 expression in cancer cells is upregulated in response to DNA double-strand break. PMID: 29170499
- Targeting PD-L1 Protein is an efficient anti-cancer immunotherapy strategy. (Review) PMID: 30264678
- Suggest that PD-L1 may play a relevant role in metastatic spread and may be a candidate prognostic biomarker in cutaneous squamous cell carcinoma. PMID: 29742559
- PD-L1 immunostaining scoring for non-small cell lung cancer based on immunosurveillance parameters. PMID: 29874226
- SLC18A1 might complement other biomarkers currently under study in relation to programmed cell death protein 1/programmed cell death protein ligand 1 inhibition PMID: 30194079
- Low PDL1 expression is associated with mammary and extra-mammary Paget disease. PMID: 29943071
- Low PDL1 mRNA expression is associated with non-muscle-invasive bladder cancer. PMID: 29150702
- we found that in advanced stage NSCLC patients who received nivolumab, the C allele of PD-L1 rs4143815 and the G allele of rs2282055 were significantly associated with better ORR and PFS. This is the first report that PD-L1 SNP, which was thought to increase PD-L1 expression, is associated with a response to nivolumab. PMID: 28332580
- PD-L1 expression differs between the two components of lung ASCs. Given the complexity of lung ASCs, their treatment outcomes may be improved by administration of both EGFR TKIs and anti-PD-1/PD-L1 antibodies in cases where EGFR mutations are present and PD-L1 is overexpressed. PMID: 28387300
- IDO and B7-H1 expressions were observed in patients with pancreatic carcinoma tissues and are important markers for PC malignant progression PMID: 30029936
- There was higher programmed cell death protein ligand-1(PD-L1) expression in post-treatment EBV DNA-positive patients. Post-treatment positive EBV DNA status maybe a useful biomarker of worse outcomes in early stage -stage extranodal natural killer/T cell lymphoma. PMID: 30116872
- PD-L1 is a critical TTP-regulated factor that contributes to inhibiting antitumor immunity. PMID: 29936792
- Structural and functional analyses unexpectedly reveal an N-terminal loop outside the IgV domain of PD-1. This loop is not involved in recognition of PD-L1 but dominates binding to nivolumab, whereas N-glycosylation is not involved in binding at all. PMID: 28165004
- While mutational analysis appeared similar to that of older patients with OCSCC who lack a smoking history, a comparatively high degree of PD-L1 expression and PD-1/L1 concordance (P=0.001) was found among young female OCSCC patients. PMID: 28969885
- PD-L1 expression is predictive of survival in diffuse large B-cell lymphoma, irrespective of rituximab treatment. PMID: 29748856
- PD-L1 expression was augmented on CD8+ T cells in BALF of a patient with smoldering adult T-cell lymphoma and Pneumocystis jiroveci pneumonia. This suggested that the PD-1-PD-L1 system may suppress not only antitumor immunity but also host defense against pathogens and thereby allow establishment of chronic HTLV-1 infection and immunodeficiency. PMID: 28967040
- MUC1 drives PD-L1 expression in triple-negative breast cancer cells. PMID: 29263152
- Positive PD-L1 expression was found in 36.8% of inflammatory breast carcinoma (IBC) samples but was not significantly associated with the clinicopathologic variables examined. Worse overall survival (OS) was significantly associated with positive PD-L1, negative estrogen receptor, and triple-negative status. The 5-year OS rate was 36.4% for patients with PD-L1-positive IBC and 47.3% for those with PD-L1-negative. PMID: 29425258
- PD-L1 expression display a highly variable distribution in clear cell renal cell carcinomas and this particularity should be kept in mind when selecting the tumor samples to be tested for immunotherapy. PMID: 29661736
- Report relatively low level PD-L1 positivity in treatment-naive acinar prostatic adenocarcinoma. PMID: 30257853
- High PD-L1 expression is associated with pulmonary metastases in head and neck squamous cell carcinoma. PMID: 29937180
- these data suggest that DNA-damage signaling is insufficient for upregulating PD-L1 in normal human dermal fibroblasts PMID: 29859207
- High CD274 expression is associated with Oral Squamous Cell Carcinoma. PMID: 28669079
- This study provides important evidence of higher levels of agreement of PD-L1 expression in pulmonary metastasis compared with in multiple primary lung cancer, and high positivity of PD-L1 expression in pulmonary metastatic lesions with wild-type EGFR in an Asian population. PMID: 29254651
- High PD-L1 expression is associated with Mycobacterium avium complex-induced lung disease. PMID: 28169347
- PD-L1 expression in tumor-associated immune cells may be associated with a higher probability of clinical response to avelumab in metastatic breast cancer PMID: 29063313
- The expression of PDL1 was significantly increased following treatment with gefitinib. PMID: 29901173
- These results demonstrated that the IFNGinduced immunosuppressive properties of B7H1 in human BM and WJMSCs were mediated by STAT1 signaling, and not by PI3K/RACalpha serine/threonineprotein kinase signaling PMID: 29901104
- PD-1/PD-L1 expression is a frequent occurrence in poorly differentiated neuroendocrine carcinomas of the digestive system. PMID: 29037958
- High CD274 expression is associated with Epithelial Ovarian Cancer. PMID: 30275195
- Studied expression levels of CD274 molecule (PD-L1) in thymic epithelial tumors. Found PD-L1 expression level correlated with the degree of TET malignancy. PMID: 29850538
- Authors assessed PD-L1 expression in both tumor cells and tumor-infiltrating immune cells in the tumor specimens (complete histological sections, not tissue microarray). PMID: 28420659
- We conclude that a subgroup of advanced disease ovarian cancer patients with high grade tumors, expressing PD-L1, may be prime candidates for immunotherapy targeting PD-1 signaling PMID: 29843813
- PD-L1 expression is a prognostic factor related with poor survival among patients that developed non-small cell lung cancer. PMID: 29614306
- The inhibition of PTEN also reduced the cancer effects of CD4+ T cells on non-small cell lung cancer (NSCLC) cell lines following miR-142-5p downregulation. Therefore, our study demonstrated that miR-142-5p regulated CD4+ T cells in human NSCLC through PD-L1 expression via the PTEN pathway. PMID: 29767245
顯示更多
收起更多
-
亞細胞定位:Cell membrane; Single-pass type I membrane protein. Early endosome membrane; Single-pass type I membrane protein. Recycling endosome membrane; Single-pass type I membrane protein.; [Isoform 1]: Cell membrane; Single-pass type I membrane protein.; [Isoform 2]: Endomembrane system; Single-pass type I membrane protein.
-
蛋白家族:Immunoglobulin superfamily, BTN/MOG family
-
組織特異性:Highly expressed in the heart, skeletal muscle, placenta and lung. Weakly expressed in the thymus, spleen, kidney and liver. Expressed on activated T- and B-cells, dendritic cells, keratinocytes and monocytes.
-
數據庫鏈接:
Most popular with customers
-
-
YWHAB Recombinant Monoclonal Antibody
Applications: ELISA, WB, IHC, IF, FC
Species Reactivity: Human, Mouse, Rat
-
Phospho-YAP1 (S127) Recombinant Monoclonal Antibody
Applications: ELISA, WB, IHC
Species Reactivity: Human
-
-
-
-
-















