NEFM Monoclonal Antibody
-
中文名稱:NEFM Monoclonal Antibody
-
貨號:CSB-MA183236
-
規格:¥1320
-
圖片:
-
Flow cytometric analysis of Neurofilament medium chain expression in HeLa cells using Neurofilament medium chain antibody. Green, isotype control; red, Neurofilament medium chain.
-
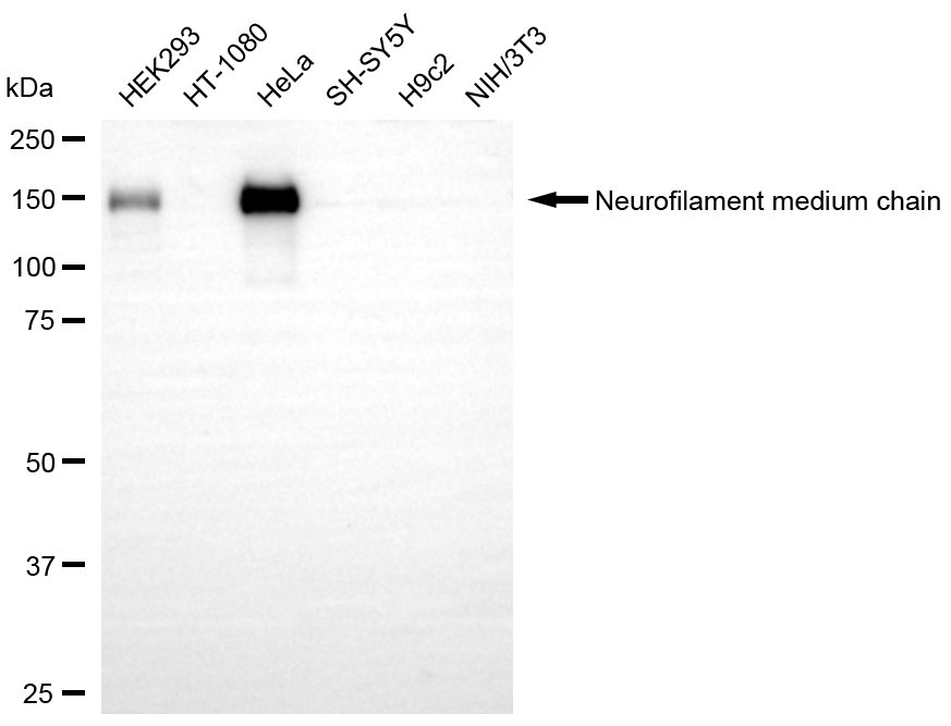
Western blotting analysis using neurofilament medium chain antibody. Total cell lysates (30 μg) from various cell lines were loaded and separated by SDS-PAGE. The blot was incubated with neurofilament medium chain antibody and HRP-conjugated goat anti-rabbit secondary antibody respectively.
-
-
其他:
產品詳情
-
產品名稱:Mouse anti-Homo sapiens (Human) NEFM Monoclonal antibody
-
Uniprot No.:
-
基因名:NEFM
-
別名:NEFM; Neurofilament Medium Chain; NF-M; NFM; NEF3; Neurofilament, Medium Polypeptide 150kDa; Neurofilament Medium Polypeptide; Neurofilament Triplet M Protein; 160 KDa Neurofilament Protein; Neurofilament 3; Neurofilament, Medium Polypeptide; Neurofilament-3 (150 KD Medium); Neurofilament Medium
-
宿主:Mouse
-
反應種屬:Human
-
免疫原:Recombinant Human NEFM protein
-
免疫原種屬:Homo sapiens (Human)
-
標記方式:Non-conjugated
-
克隆類型:Monoclonal
-
抗體亞型:Mouse IgG1
-
純化方式:Affinity-chromatography
-
克隆號:24D9
-
濃度:It differs from different batches. Please contact us to confirm it.
-
保存緩沖液:PBS (pH 7.4) containing 50% glycerol, and 0.02% sodium azide.
-
產品提供形式:Liquid
-
應用范圍:ELISA, WB, FC
-
推薦稀釋比:
Application Recommended Dilution WB 1:500-1:2500 FC 1:200-1:2000 -
Protocols:
-
儲存條件:Upon receipt, store at -20°C or -80°C. Avoid repeated freeze.
-
貨期:Basically, we can dispatch the products out in 1-3 working days after receiving your orders. Delivery time maybe differs from different purchasing way or location, please kindly consult your local distributors for specific delivery time.
-
用途:For Research Use Only. Not for use in diagnostic or therapeutic procedures.
相關產品
靶點詳情
-
功能:Neurofilaments usually contain three intermediate filament proteins: NEFL, NEFM, and NEFH which are involved in the maintenance of neuronal caliber. May additionally cooperate with the neuronal intermediate filament proteins PRPH and INA to form neuronal filamentous networks.
-
基因功能參考文獻:
- Study determined that spinophilin binding to neurofilament medium required overexpression of the catalytic subunit of protein kinase A and was decreased by cyclin-dependent protein kinase 5. PMID: 28634551
- NEFM is a negative regulator of aldosterone production and cell proliferation, in part by facilitating D1R internalization from the plasma membrane in Adosterone-producing Adenomas. PMID: 28584012
- There was a strongly elevated reactivity against neurofilament medium in a subset of schizophrenia patients compared to controls. PMID: 24636402
- direct evidence that NF-M/H are hyperphosphorylated in Alzheimer disease PMID: 20624930
- the importance of alpha-internexin and NF-L in regulating the conformations of NF-M and NF-H PMID: 20213320
- This protein has been found differentially expressed in the anterior cingulate cortex from patients with schizophrenia PMID: 20381070
- To study if the increase of levels of neurofilament (NF)-M and NF-L in brain of Alzheimer's diseases (AD) is caused by increase of NF-M and NF-L. PMID: 12133495
- Two polymorphisms of neurofilament M(Ala475Thr and Gly697Arg) occurred at similar frequencies in PD patients and controls. A Pro725Gln substitution and a deletion of valine in position 829 were identified in two PD patients. PMID: 14583397
- The G336S variant of hNF-M does not affect the formation of IF networks nor the distribution of the variant hNFM protein. If the G336S variant is involved in the development of PD, it isn't due to defects in the assembly and distribution of NFs. PMID: 15290901
- O-glycosylation of NF-M is highly dynamic and closely interwoven with phosphorylation cascades and may have a pathophysiological role. PMID: 16006557
- mutations in neurofilaments are possible risk factors that may contribute to pathogenesis in amytrophic lateral sclerosis in conjunction with one or more additional genetic or environmental factors, but are not significant primary causes PMID: 16084104
- variation in NEF3 influence rate of response to typical antipsychotic medication PMID: 16734940
顯示更多
收起更多
-
亞細胞定位:Cytoplasm, cytoskeleton. Cell projection, axon.
-
蛋白家族:Intermediate filament family
-
數據庫鏈接:
Most popular with customers
-
-
YWHAB Recombinant Monoclonal Antibody
Applications: ELISA, WB, IHC, IF, FC
Species Reactivity: Human, Mouse, Rat
-
Phospho-YAP1 (S127) Recombinant Monoclonal Antibody
Applications: ELISA, WB, IHC
Species Reactivity: Human
-
-
-
-
-















