Muscle actin Monoclonal Antibody
-
中文名稱:Muscle actin鼠單克隆抗體
-
貨號:CSB-MA379004
-
規格:¥1090
-
圖片:
-
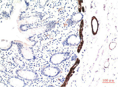
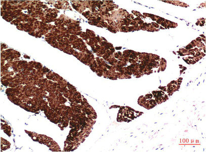
Immunohistochemical analysis of paraffin-embedded Human Colon Carcinoma Tissue using Muscle Actin Mouse mAb diluted at 1:200.
-
Immunohistochemical analysis of paraffin-embedded Human Colon Carcinoma Tissue using Muscle Actin Mouse mAb diluted at 1:200.
-
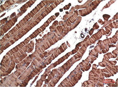
Immunohistochemical analysis of paraffin-embedded Mouse Skeletal Muscle Tissue using Muscle Actin Mouse mAb diluted at 1:200.
-
-
其他:
產品詳情
-
產品描述:CUSABIO貨號:CSB-MA379004 Muscle actin單克隆抗體是針對肌肉組織中核心骨架蛋白Muscle actin研發的科研試劑,該靶標蛋白在維持細胞形態、介導肌肉收縮及細胞運動等生理過程中發揮關鍵作用,是研究肌肉發育、再生及病理機制的重要生物標志物。本產品采用雜交瘤技術制備,經ELISA與免疫組化(IHC)雙重驗證,可特異性識別Human、Mouse、Rat等多物種樣本,適用于肌肉組織特異性標記、肌源性細胞鑒定及肌肉相關疾病模型的蛋白表達分析。抗體經過抗原親和純化工藝處理,具有高批次穩定性和低交叉反應特性,特別適配于骨骼肌、心肌等組織切片的免疫染色實驗,以及細胞裂解液中肌動蛋白表達的定量檢測,為肌肉萎縮癥、心肌病等病理機制研究提供可靠工具。該產品嚴格遵循科研級抗體生產標準,配套提供詳細實驗方案及技術支持,滿足基礎研究、轉化醫學等領域的實驗需求,助力肌肉生物學與疾病機理的深入探索。
-
Uniprot No.:
-
宿主:Mouse
-
反應種屬:Human,Mouse,Rat
-
免疫原:Synthetic Peptide of Muscle actin
-
免疫原種屬:Homo sapiens (Human)
-
標記方式:Non-conjugated
-
純化方式:The antibody was affinity-purified from mouse ascites by affinity-chromatography using specific immunogen.
-
克隆號:26E9
-
濃度:It differs from different batches. Please contact us to confirm it.
-
保存緩沖液:Liquid in PBS containing 50% glycerol, 0.5% BSA and 0.02% sodium azide.
-
產品提供形式:Liquid
-
應用范圍:ELISA,IHC
-
推薦稀釋比:
Application Recommended Dilution IHC 1:100-1:200 -
Protocols:
-
儲存條件:Upon receipt, store at -20°C or -80°C. Avoid repeated freeze.
-
貨期:Basically, we can dispatch the products out in 1-3 working days after receiving your orders. Delivery time maybe differs from different purchasing way or location, please kindly consult your local distributors for specific delivery time.
-
用途:For Research Use Only. Not for use in diagnostic or therapeutic procedures.
相關產品
Most popular with customers
-
-
YWHAB Recombinant Monoclonal Antibody
Applications: ELISA, WB, IHC, IF, FC
Species Reactivity: Human, Mouse, Rat
-
Phospho-YAP1 (S127) Recombinant Monoclonal Antibody
Applications: ELISA, WB, IHC
Species Reactivity: Human
-
-
-
-
-















