KRT6A Monoclonal Antibody
-
中文名稱:KRT6A鼠單克隆抗體
-
貨號:CSB-MA949708
-
規格:¥1320
-
圖片:
-
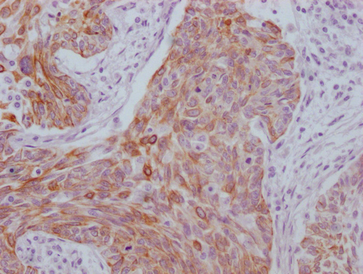
IHC image of CSB-MA949708 diluted at 1:100 and staining in paraffin-embedded human cervical cancer performed on a Leica BondTM system. After dewaxing and hydration, antigen retrieval was mediated by high pressure in a citrate buffer (pH 6.0). Section was blocked with 10% normal goat serum 30min at RT. Then primary antibody (1% BSA) was incubated at 4°C overnight. The primary is detected by a Goat anti-mouse IgG polymer labeled by HRP and visualized using 0.05% DAB.
-
-
其他:
產品詳情
-
產品描述:KRT6A單克隆抗體(CUSABIO貨號:CSB-MA949708)是針對人源角蛋白6A(Keratin 6A)開發的高特異性科研試劑,適用于酶聯免疫吸附(ELISA)和免疫組織化學(IHC)實驗。該抗體通過重組人源KRT6A蛋白免疫動物制備,可特異性識別細胞骨架中由KRT6基因編碼的中間纖維蛋白,該蛋白在表皮分化、創傷修復及皮膚屏障功能中起關鍵作用,其表達異常與先天性厚甲癥等皮膚角化疾病密切相關。產品具有嚴格驗證的種屬特異性,僅對人源樣本有效,適用于表皮組織切片中角蛋白網絡形態學觀察、體外細胞模型中角化相關蛋白互作研究,以及皮膚病理機制相關的蛋白表達水平定量分析。本抗體經過多批次質控驗證,在石蠟包埋組織切片和細胞裂解液體系中均表現出優異性能,為研究皮膚生物學、角質形成細胞分化調控及遺傳性皮膚疾病提供可靠工具。
-
產品名稱:Mouse anti-Homo sapiens (Human) KRT6A Monoclonal antibody
-
Uniprot No.:
-
基因名:KRT6A
-
別名:CK-6A antibody; CK-6D antibody; CK6A antibody; CK6C antibody; CK6D antibody; Cytokeratin-6A antibody; Cytokeratin-6D antibody; K2C6A_HUMAN antibody; K6A antibody; K6C antibody; K6D antibody; keratin 6A antibody; Keratin antibody; Keratin; type II cytoskeletal 6A antibody; Keratin-6A antibody; Krt6a antibody; KRT6C antibody; KRT6D antibody; type II cytoskeletal 6A antibody; Type-II keratin Kb6 antibody
-
宿主:Mouse
-
反應種屬:Human
-
免疫原:Synthesized peptide derived from human Cytokeratin 6
-
免疫原種屬:Homo sapiens (Human)
-
標記方式:Non-conjugated
-
克隆類型:Monoclonal
-
抗體亞型:IgG1, Kappa
-
純化方式:The antibody was affinity-purified from mouse ascites by affinity-chromatography using specific immunogen.
-
克隆號:13C6
-
濃度:It differs from different batches. Please contact us to confirm it.
-
保存緩沖液:Liquid in PBS containing 50% glycerol, 0.5% BSA and 0.02% sodium azide.
-
產品提供形式:Liquid
-
應用范圍:ELISA, IHC
-
推薦稀釋比:
Application Recommended Dilution IHC 1:20-1:200 -
Protocols:
-
儲存條件:Upon receipt, store at -20°C or -80°C. Avoid repeated freeze.
-
貨期:Basically, we can dispatch the products out in 1-3 working days after receiving your orders. Delivery time maybe differs from different purchasing way or location, please kindly consult your local distributors for specific delivery time.
-
用途:For Research Use Only. Not for use in diagnostic or therapeutic procedures.
相關產品
靶點詳情
-
功能:Epidermis-specific type I keratin involved in wound healing. Involved in the activation of follicular keratinocytes after wounding, while it does not play a major role in keratinocyte proliferation or migration. Participates in the regulation of epithelial migration by inhibiting the activity of SRC during wound repair.
-
基因功能參考文獻:
- Manipulating K6a phosphorylation or ubiquitin-proteasome system (UPS) activity may provide opportunities to harness the innate immunity of epithelia against infection. PMID: 29191848
- Several missense polymorphisms in KRT6A, KRT6B and KRT6C that lead to a higher risk for dental caries. PMID: 29357356
- KRT6A genetic mutation is associate with the development of Pachyonychia Congenita in patients in Australia. PMID: 27041546
- we here describe a family with pachyonychia congenita K6a, manifesting atypical symptoms of impaired wound healing and cheilitis. PMID: 24708461
- Keratin-derived antimicrobial peptides (KDAMPs) and their synthetic analogs exhibit antimicrobial activity against bacterial pathogens. PMID: 23006328
- Genotype-phenotype correlations among PC patients with codon-125 mutation in KRT16 were established, while the phenotypes caused by the IVS8-2A>C mutation in KRT6A need further studies to confirm the rare feature of fissured tongue PMID: 22668561
- We observed a higher likelihood of oral leukokeratosis in individuals harboring KRT6A mutations. PMID: 22264670
- Phenotypic differences exist between KRT6A and KRT16 mutations support adoption of a new classification system. PMID: 22098151
- This report is the first case of pachyonychia congenita with laryngeal obstruction in which the gene mutation has been established (a deletional mutation in keratin 6a). PMID: 21554383
- Focal palmoplantar keratoderma is associated with mutations in keratin K6c in 3 families. 2 unrelated families have Asn172 del and the other has a deletion of AA 462-470. Review. PMID: 20470930
- these data highlight the possibility of a physiological role for K6/K16 heterodimers in keratinocyte cell migration, in addition to the heterodimer's known functions in cell differentiation and mechanical resilience. PMID: 20403371
- The mutation of 521T--> C in the K6A gene is the causing mutation in pachyonychia congenita type I. PMID: 20140871
- Mutations Y465H and N171D of the KRT16A gene were detected in the sporadic pachyonychia congenita cases. PMID: 19806570
- Four new missense and five known mutations in K6a, one new deletion and three previously identified missense mutations in K16, plus one known mutation in K17 are reported in pachyonychia congenita. PMID: 17719747
- PC-1 is due to mutations of the KRT16 gene or its expression partner KRT6A, wheres PC-2 is caused by mutations in the KRT17 or KRT6B genes. PMID: 18489596
- Three novel and four recurrent keratin 6A (KRT6A) mutations were found in Chinese patients with pachyonychia congenita type 1 PMID: 19416275
- Rapamycin selectively inhibits expression of an inducible keratin (K6a) in human keratinocytes and improves symptoms in pachyonychia congenita patients. PMID: 19699613
顯示更多
收起更多
-
相關疾病:Pachyonychia congenita 3 (PC3)
-
蛋白家族:Intermediate filament family
-
組織特異性:Expressed in the corneal epithelium (at protein level).
-
數據庫鏈接:
Most popular with customers
-
-
YWHAB Recombinant Monoclonal Antibody
Applications: ELISA, WB, IHC, IF, FC
Species Reactivity: Human, Mouse, Rat
-
Phospho-YAP1 (S127) Recombinant Monoclonal Antibody
Applications: ELISA, WB, IHC
Species Reactivity: Human
-
-
-
-
-















