KRT16 Monoclonal Antibody
-
中文名稱:KRT16鼠單克隆抗體
-
貨號:CSB-MA192596
-
規格:¥1320
-
圖片:
-
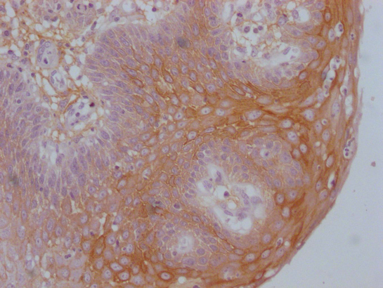
IHC image of CSB-MA192596 diluted at 1:100 and staining in paraffin-embedded human tonsil tissue performed on a Leica BondTM system. After dewaxing and hydration, antigen retrieval was mediated by high pressure in a citrate buffer (pH 6.0). Section was blocked with 10% normal goat serum 30min at RT. Then primary antibody (1% BSA) was incubated at 4°C overnight. The primary is detected by a Goat anti-mouse IgG polymer labeled by HRP and visualized using 0.05% DAB.
-
-
其他:
產品詳情
-
產品描述:CUSABIO貨號:CSB-MA192596單克隆抗體是專為人類KRT16靶點設計的科研工具,采用雜交瘤技術制備而成。KRT16作為I型角蛋白家族成員,在維持表皮細胞機械強度方面發揮重要作用,其異常表達與多種皮膚病理狀態相關。本產品經過Western Blot驗證顯示特異性結合條帶,適用于酶聯免疫吸附(ELISA)和免疫組化(IHC)兩大實驗體系,在皮膚屏障功能研究、上皮細胞分化機制探索等基礎科研領域具有重要應用價值,特別適用于皮膚病理切片中角蛋白網絡可視化及體外細胞模型中KRT16表達水平的定量檢測,為研究角質形成細胞生物學特性提供精準的實驗支持。
-
產品名稱:Mouse anti-Homo sapiens (Human) KRT16 Monoclonal antibody
-
Uniprot No.:
-
基因名:
-
別名:CK 16 antibody; CK-16 antibody; CK16 antibody; Cytokeratin 16 antibody; Cytokeratin-16 antibody; Cytokeratin16 antibody; FNEPPK antibody; Focal non epidermolytic palmoplantar keratoderma antibody; K 16 antibody; K16 antibody; K1C16_HUMAN antibody; K1CP antibody; Keratin 1 type I antibody; Keratin 16 antibody; Keratin antibody; Keratin type I cytoskeletal 16 antibody; Keratin-16 antibody; Keratin16 antibody; KRT 16 antibody; Krt16 antibody; KRT16A antibody; NEPPK antibody; PC1 antibody; type I cytoskeletal 16 antibody
-
宿主:Mouse
-
反應種屬:Human
-
免疫原:Synthesized peptide derived from human Cytokeratin 16
-
免疫原種屬:Homo sapiens (Human)
-
標記方式:Non-conjugated
-
克隆類型:Monoclonal
-
抗體亞型:IgG
-
純化方式:The antibody was affinity-purified from mouse ascites by affinity-chromatography using specific immunogen.
-
克隆號:19D5
-
濃度:It differs from different batches. Please contact us to confirm it.
-
保存緩沖液:Liquid in PBS containing 50% glycerol, 0.5% BSA and 0.02% sodium azide.
-
產品提供形式:Liquid
-
應用范圍:ELISA, IHC
-
推薦稀釋比:
Application Recommended Dilution IHC 1:20-1:200 -
Protocols:
-
儲存條件:Upon receipt, store at -20°C or -80°C. Avoid repeated freeze.
-
貨期:Basically, we can dispatch the products out in 1-3 working days after receiving your orders. Delivery time maybe differs from different purchasing way or location, please kindly consult your local distributors for specific delivery time.
-
用途:For Research Use Only. Not for use in diagnostic or therapeutic procedures.
相關產品
靶點詳情
-
功能:Epidermis-specific type I keratin that plays a key role in skin. Acts as a regulator of innate immunity in response to skin barrier breach: required for some inflammatory checkpoint for the skin barrier maintenance.
-
基因功能參考文獻:
- Study identified iRHOM2 as a novel regulator of K16 in humans and mice, with important implications for palmoplantar keratodermas, wound healing, inflammatory skin disease and cancers. PMID: 28128203
- results suggest a conditional regulation of KRT16 gene by ATF4 that may be inhibited in normal cells, but engaged during cancer progression. Potential roles of KRT16, FAM129A and HKDC1 genes upregulation in adaptive stress responses and pathologies are discussed PMID: 29420561
- inflammatory cytokines promoted Nrf2 nuclear translocation in psoriatic epidermis, which led to elevated expression of K6, K16, and K17, thus promoting keratinocyte proliferation and contributing to the pathogenesis of psoriasis. PMID: 28576737
- The wider spectrum of KRT16 mutations suggests that changes in codons 125, 127, and 132 are most commonly responsible for PC-1 and that proline substitution mutations at codons 127 or 128 may produce more severe disease PMID: 24357266
- analysis of a new p.Leu421Pro (c.1262T>C) mutation in the highly conserved helix termination motif of K16 in a large Spanish family that may have a role in pachyonychia congenita PMID: 24118415
- Keratin 16 regulates innate immunity in response to epidermal barrier breach. PMID: 24218583
- Data established a seven-gene (AR, ESR2, GATA3, GBX2, KRT16, MMP28 and WNT11) prognostic signature to define a subset of triple-negative breast cancer (TNBC). PMID: 23549873
- Patients with p.Asn125Asp and p.Arg127Pro mutations in KRT16 exhibited more severe disease than patients carrying p.Asn125Ser and p.Arg127Cys mutations in terms of age of onset of symptoms, extent of nail involvement, and impact on daily quality of life. PMID: 21160496
- Data suggest that an immune response to trichohyalin and K16 may have a role in the pathogenesis of the enigmatic disorder. PMID: 20722389
- coinheritance of mutations in KRT16 and filaggrin may aggravate the pachyonychia congenita phenotype PMID: 19785597
- disease-associated keratin 16 expression is induced by epidermal growth factor is regulated through cooperation of transcription factors Sp1 and c-Jun PMID: 12954631
- K16 expression is observed in non-lesional psoriatic skin and may serve as a marker of preclinical psoriasis. PMID: 15239676
- ERK2-mediated C-terminal serine phosphorylation of p300 was a key event in the regulation of EGF-induced keratin 16 expression. PMID: 17623675
- DPPIV-expression and enzyme activity, Ki-67 antigen and K16 are significantly upregulated in the centre and inner margin of the psoriatic lesion compared to clinically uninvolved skin and the healthy volunteers skin. PMID: 18496701
- Antikeratin 16 autoAbs are involved in psoriasis, by exaggerating the innate immune response of keratinocytes. PMID: 18557933
- Infection by HPV stimulates the expression of K16 PMID: 19515043
顯示更多
收起更多
-
相關疾病:Pachyonychia congenita 1 (PC1); Keratoderma, palmoplantar, non-epidermolytic, focal 1 (FNEPPK1)
-
蛋白家族:Intermediate filament family
-
組織特異性:Expressed in the corneal epithelium (at protein level).
-
數據庫鏈接:
Most popular with customers
-
-
YWHAB Recombinant Monoclonal Antibody
Applications: ELISA, WB, IHC, IF, FC
Species Reactivity: Human, Mouse, Rat
-
Phospho-YAP1 (S127) Recombinant Monoclonal Antibody
Applications: ELISA, WB, IHC
Species Reactivity: Human
-
-
-
-
-















