KRT1 Monoclonal Antibody
-
中文名稱:KRT1鼠單克隆抗體
-
貨號:CSB-MA555839
-
規格:¥1320
-
圖片:
-
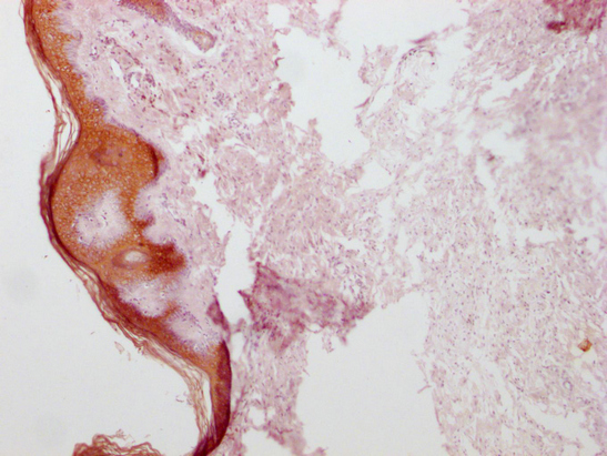
IHC image of CSB-MA555839 diluted at 1:100 and staining in paraffin-embedded human skin tissue performed on a Leica BondTM system. After dewaxing and hydration, antigen retrieval was mediated by high pressure in a citrate buffer (pH 6.0). Section was blocked with 10% normal goat serum 30min at RT. Then primary antibody (1% BSA) was incubated at 4°C overnight. The primary is detected by a Goat anti-mouse IgG polymer labeled by HRP and visualized using 0.05% DAB.
-
-
其他:
產品詳情
-
產品描述:KRT1單克隆抗體(CUSABIO貨號:CSB-MA555839)是針對人源角蛋白1(Keratin 1)研發的高特異性科研試劑,適用于ELISA和免疫組化(IHC)實驗。KRT1屬于I型酸性角蛋白家族,是表皮細胞分化的關鍵標志物,在維持細胞骨架完整性和表皮屏障功能中起重要作用,其基因突變與多種遺傳性皮膚疾病相關。該抗體采用雜交瘤技術制備,具有嚴格的物種特異性,可精準識別人類樣本中的KRT1抗原表位,為皮膚病理機制研究、腫瘤標志物分析及上皮細胞分化調控等基礎研究提供可靠工具。產品經過嚴格的質控驗證,適用于體外實驗中對角蛋白表達水平的定性與半定量分析,尤其在表皮組織切片染色和體外蛋白檢測中展現優異性能。通過優化抗體結合位點和純化工藝,確保批次間穩定性和低交叉反應性,助力科研人員在皮膚生物學、腫瘤微環境研究及再生醫學領域獲得可重復的實驗數據。
-
產品名稱:Mouse anti-Homo sapiens (Human) KRT1 Monoclonal antibody
-
Uniprot No.:
-
基因名:KRT1
-
別名:67 kDa cytokeratin antibody; CK-1 antibody; CK1 antibody; Cytokeratin-1 antibody; Cytokeratin1 antibody; EHK antibody; EHK1 antibody; Epidermolytic hyperkeratosis 1 antibody; EPPK antibody; Hair alpha protein antibody; K1 antibody; K2C1_HUMAN antibody; Keratin antibody; Keratin type II cytoskeletal 1 antibody; Keratin-1 antibody; Keratin1 antibody; KRT 1 antibody; Krt1 antibody; KRT1A antibody; NEPPK antibody; type II cytoskeletal 1 antibody; Type II keratin Kb1 antibody; Type-II keratin Kb1 antibody
-
宿主:Mouse
-
反應種屬:Human
-
免疫原:Synthesized peptide derived from human Cytokeratin 1
-
免疫原種屬:Homo sapiens (Human)
-
標記方式:Non-conjugated
-
克隆類型:Monoclonal
-
抗體亞型:IgG1, Kappa
-
純化方式:The antibody was affinity-purified from mouse ascites by affinity-chromatography using specific immunogen.
-
克隆號:17G12
-
濃度:It differs from different batches. Please contact us to confirm it.
-
保存緩沖液:Liquid in PBS containing 50% glycerol, 0.5% BSA and 0.02% sodium azide.
-
產品提供形式:Liquid
-
應用范圍:ELISA, IHC
-
推薦稀釋比:
Application Recommended Dilution IHC 1:20-1:200 -
Protocols:
-
儲存條件:Upon receipt, store at -20°C or -80°C. Avoid repeated freeze.
-
貨期:Basically, we can dispatch the products out in 1-3 working days after receiving your orders. Delivery time maybe differs from different purchasing way or location, please kindly consult your local distributors for specific delivery time.
-
用途:For Research Use Only. Not for use in diagnostic or therapeutic procedures.
相關產品
靶點詳情
-
功能:May regulate the activity of kinases such as PKC and SRC via binding to integrin beta-1 (ITB1) and the receptor of activated protein C kinase 1 (RACK1). In complex with C1QBP is a high affinity receptor for kininogen-1/HMWK.
-
基因功能參考文獻:
- The authors report a large Italian family affected Palmoplantar Keratoderma and Charcot Marie Tooth disease. Two different mutated genes, KRT1 and MPZ were responsible for the two main clinical signs. Exome analysis detected two missense mutations, one in KRT1 and one in MPZ. PMID: 27639257
- Results show that missense mutations exert dominant negative effects on the keratins K1/K10 protein structure by altering inter-chain interactions. PMID: 27421141
- KRT1 and the specific polymorphism of KRT1 in this Chinese Han population are associated with autoimmune diseases SLE and SSc PMID: 29028840
- Case Report: post-zygotic mosaicism of KRT/1o mutations in epidermolytic Ichthyosis. PMID: 27722766
- KRT1 played an important role of maintaining epithelial barrier and its down-regulation in intestinal tissue was correlated with the progression of inflammatory bowel disease. PMID: 28111259
- Report genetic/clinical spectrum of KRT1 mutations in keratinopathic ichthyosis. PMID: 26581228
- demonstrated the presence of a genetic cutaneous mosaicism. Both patients carry the KRT1 pI479T substitution, but in the palmoplantar areas of one of them, only the mutated allele is expressed (hemizygous). This leads to highlight a new type of cutaneous mosaic, the palmoplantar mosaicism PMID: 25904304
- In our study, the missense mutation in the proband and his mother with epidermolytic ichthyosis was a single amino acid difference in codon 478, which causes more serious skin manifestations PMID: 25808222
- Complete structure of an epithelial keratin 1/keratin 10 dimer has been presented. PMID: 26181054
- These findings indicate that exogenous FABP4 interacts with plasma membrane proteins, specifically CK1. PMID: 26343611
- analysis of a heterozygous novel splice junction mutation in the 2B domain of KRT1 in a family with diffuse palmoplantar keratoderma PMID: 25429721
- In ichthyosis with confetti, a causal de novo KRT1 mutation had a C-terminal frameshift, replacing 22 C-terminal AAs with an alternate 30-AA peptide. It distorted the IF network and mislocalized to the nucleus. Reversion occurred by mitotic recombination. PMID: 25774499
- In HeLa cells transiently expressing C2GnT-M-GFP, knockdown of KRT1 does not affect Golgi morphology but leaves C2GnT-M outside of the Golgi, resulting in the formation of sialyl-T antigen. PMID: 25605727
- Decreased levels of cytokeratin-1 is associated with breast cancer. PMID: 25073515
- Hsp74, a potential bladder cancer marker, has direct interaction with keratin 1. PMID: 25050384
- identified among endothelial antigens to which antibodies are produced during heart transplant rejection PMID: 23707440
- Case Report/Letter: specific mutation in 2B domain of KRT1 gives rise to mild phenotype of epidermolytic hyperkeratosis mimicking ichthyosis bullosa of Siemens. PMID: 23623204
- study reports 2 related women of Colombian origin, affected by a severe ichthyosis curth-macklin phenotype, who present a novel KRT1 mutation c.1577delG (p.Gly526Alafs*88) PMID: 22834809
- Absence of Krt1 caused a prenatal increase in interleukin-18 (IL-18) and the S100A8 and S100A9 proteins, accompanied by a barrier defect and perinatal lethality. PMID: 23132931
- Among Japanese patients with bullous congenital ichthyosiform erythroderma for which genetic diagnosis was determined, all showed mustations in KRT1 or KRT10. PMID: 23182068
- Identification Keratin 1 as a cDDP-resistant protein in nasopharyngeal carcinoma cell lines. PMID: 22348822
- High cytokeratin is associated with colorectal carcinogenesis. PMID: 21912905
- we describe one Chinese family affected with EHK, type PS-1 (severe palmoplantar hyperkeratosis, type 1) and report a recurrent missense mutation (c.1436T>C) in the 2B rod domain of KRT1 in this family. PMID: 22250628
- mutation analysis in patients with epidermolytic ichthyosis by direct sequencing of KRT1 and KRT10 genes; identified 14 different mutations, of which four have not been published previously PMID: 21271994
- keratin 1 L12 domain mutations are associated with a milder epidermolytic ichthyosis phenotype with pronounced palmoplantar keratoderma, and without neonatal erythroderma and scaling. PMID: 20500210
- Data demonstrate that genetic variants in the KRT1 interval contribute to quantifiable differences in the migration rates of keratinocytes isolated from different individuals. PMID: 17668073
- alpha-keratin intermediate filaments have a low-density core as seen by cryoelectron microscopy PMID: 12064938
- The humans hair Keratin 1 genes are each clustered in the genome and clusters are part of the large typeI epithelial keratin gene domains on chromosomes. PMID: 15797458
- bullous congenital ichthyosiform erythroderma (BCIE) caused by a mutation in the 1A helix initiation motif of keratin 1. PMID: 16361731
- A new genetic polymorphism has been detected, which is especially prevalent among the African-American population. PMID: 16417221
- Allelic expression differences result from the cumulative contribution of multiple DNA sequence polymorphisms. PMID: 16789827
- The 2 keratin 1 mutations are associated with tonotubular keratin, i.e. 'whorls' of aggregated keratin that form tubules as seen in transverse or in longitudinal sections PMID: 18795921
- Mutation L437P in the 2B domain of keratin 1 causes diffuse palmoplantar keratoderma in a Chinese pedigree. PMID: 19470048
- Keratin 1, an intermediate filament network component, is the binding partner of the lymphocytic choriomeningitis virus nucleoprotein. PMID: 19494018
- Infection by HPV may alter the differentiation status of the epidermis, leading to delayed or absent expression of cytokeratin 1. PMID: 19515043
顯示更多
收起更多
-
相關疾病:Epidermolytic hyperkeratosis (EHK); Ichthyosis hystrix, Curth-Macklin type (IHCM); Keratoderma, palmoplantar, non-epidermolytic (NEPPK); Ichthyosis annular epidermolytic (AEI); Keratoderma, palmoplantar, striate 3 (SPPK3)
-
亞細胞定位:Cell membrane. Note=Located on plasma membrane of neuroblastoma NMB7 cells.
-
蛋白家族:Intermediate filament family
-
組織特異性:The source of this protein is neonatal foreskin. The 67-kDa type II keratins are expressed in terminally differentiating epidermis.
-
數據庫鏈接:
Most popular with customers
-
-
YWHAB Recombinant Monoclonal Antibody
Applications: ELISA, WB, IHC, IF, FC
Species Reactivity: Human, Mouse, Rat
-
Phospho-YAP1 (S127) Recombinant Monoclonal Antibody
Applications: ELISA, WB, IHC
Species Reactivity: Human
-
-
-
-
-















