HSD17B4 Monoclonal Antibody
-
中文名稱:HSD17B4 Monoclonal Antibody
-
貨號:CSB-MA120654
-
規格:¥1320
-
圖片:
-
Validation of HSD17B4 knockdown using flow cytometry. Wild-type(WT, Blue) and knockdown(KD, Green) HeLa cells were stained with HSD17B4 antibody and analyzed using BD flow cytometer.
-
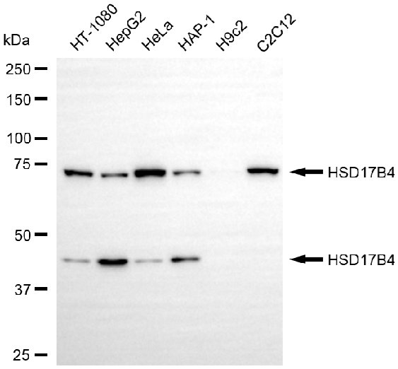
Western blotting analysis using HSD17B4 antibody. Total cell lysates (30 μg) from various cell lines were loaded and separated by SDS-PAGE. The blot was incubated with HSD17B4 antibody and HRP-conjugated goat anti-mouse secondary antibody respectively.
-
Western blotting analysis using HSD17B4 antibody. HSD17B4 expression in wild-type (WT) and HSD17B4 shRNA knockdown (KD) HeLa cells with 20 μg of total cell lysates. Hsp90 α serves as a loading control. The blot was incubated with HSD17B4 antibody and HRP-conjugated goat anti-mouse secondary antibody respectively.
-
-
其他:
產品詳情
-
產品名稱:Mouse anti-Homo sapiens (Human) HSD17B4 Monoclonal antibody
-
Uniprot No.:
-
基因名:HSD17B4
-
別名:HSD17B4; Hydroxysteroid 17-Beta Dehydrogenase 4; SDR8C1; MFE-2; DBP; 17-Beta-Hydroxysteroid Dehydrogenase 4; 3-Alpha,7-Alpha,12-Alpha-Trihydroxy-5-Beta-Cholest-24-Enoyl-CoA Hydratase; Short Chain Dehydrogenase/Reductase Family 8C Member 1; Peroxisomal Multifunctional Enzyme Type 2; 17beta-Estradiol Dehydrogenase Type IV; Peroxisomal Multifunctional Protein 2; D-Bifunctional Protein, Peroxisomal; D-3-Hydroxyacyl-CoA Dehydratase; Beta-Hydroxyacyl Dehydrogenase; Multifunctional Protein 2; Beta-Keto-Reductase; 17-Beta-HSD IV; 17-Beta-HSD 4; MFP-2; Short Chain Dehydrogenase/Reductase Family 8C, Member 1; Epididymis Secretory Sperm Binding Protein; Hydroxysteroid (17-Beta) Dehydrogenase 4; Hydroxysteroid Dehydrogenase 4; D-Bifunctional Protein; EDH17B4; PRLTS1; MPF-2
-
宿主:Mouse
-
反應種屬:Human, Mouse
-
免疫原:Recombinant Human HSD17B4 protein
-
免疫原種屬:Homo sapiens (Human)
-
標記方式:Non-conjugated
-
克隆類型:Monoclonal
-
抗體亞型:Mouse IgG2b
-
純化方式:Affinity-chromatography
-
克隆號:23A2
-
濃度:It differs from different batches. Please contact us to confirm it.
-
保存緩沖液:PBS (pH 7.4) containing 50% glycerol, and 0.02% sodium azide.
-
產品提供形式:Liquid
-
應用范圍:ELISA, WB, FC
-
推薦稀釋比:
Application Recommended Dilution WB 1:400-1:2000 FC 1:200-1:2000 -
Protocols:
-
儲存條件:Upon receipt, store at -20°C or -80°C. Avoid repeated freeze.
-
貨期:Basically, we can dispatch the products out in 1-3 working days after receiving your orders. Delivery time maybe differs from different purchasing way or location, please kindly consult your local distributors for specific delivery time.
-
用途:For Research Use Only. Not for use in diagnostic or therapeutic procedures.
相關產品
靶點詳情
-
功能:Bifunctional enzyme acting on the peroxisomal beta-oxidation pathway for fatty acids. Catalyzes the formation of 3-ketoacyl-CoA intermediates from straight-chain, 2-methyl-branched-chain fatty acids bile acid intermediates. With EHHADH, catalyzes the hydration of trans-2-enoyl-CoA and the dehydrogenation of 3-hydroxyacyl-CoA, but with opposite chiral specificity.
-
基因功能參考文獻:
- This study reveals a crosstalk between acetylation and chaperone-mediated autophagy degradation in HSD17B4 regulation. PMID: 28296597
- we identified that methylation of the promoter CpG island of HSD17B4 was associated with the pathological complete response of HER2-positive breast cancer to trastuzumab and chemotherapy with a specificity of 79% PMID: 28186977
- Our findings supported that HSD17B4 was one of the genes contributing to Perrault syndrome in this consanguineous Chinese Han family. PMID: 28830375
- ere we present eight families affected by Perrault syndrome. In five families we identified novel or previously reported variants in HSD17B4, LARS2, CLPP and C10orf2 PMID: 26970254
- Results show that HSD17B4 is highly expressed in hepatocellular carcinoma (HCC) cells and activated NF-kappaB co-localized with the NF-kappaB-responsive element of HSD17B4 suggesting that HSD17B4 plays an important role in aggravated HCC progression. PMID: 25448063
- Structural MFE-2 instability is the molecular basis of D-bifunctional protein deficiency type III. PMID: 23308274
- Specific combination of compound heterozygous mutations in 17beta-hydroxysteroid dehydrogenase type 4 (HSD17B4) defines a new subtype of D-bifunctional protein deficiency. PMID: 23181892
- Molecular models of domain structure of MFE-2 from human, C. elegans, and Drosophila melanogaster lend support to possible structural role of MFE-2 domains including SCP-2L (sterol carrier protein 2-like) domain in human and C. elegans proteins. PMID: 23313254
- Epistasis between the HSD17B4 and thyroglobulin polymorphisms is associated with premature ovarian failure. A haplotype in the HSD17B4 gene was identified that was significantly associated with resistance to POF PMID: 22265031
- The diagnosis of a type III DBPD with a missense mutation (T15A) in the HSD17B4 gene, coding for D-bifunctional protein (DBP), could be established. PMID: 20949532
- MFE2 anchors its substrate around the region from Trp(249) to Arg(251) and positions the substrate along the hydrophobic cavity in the proper direction toward the catalytic center PMID: 20566640
- Perrault syndrome and DBP deficiency overlap clinically and Perrault syndrome is genetically heterogeneous. PMID: 20673864
- rs11205 in HSD17B4 was associated with testicular germ cell tumor. Risk doubled per copy of the minor A allele. Homozygosity of this allele quadrupled the risk vs. homozygous major G allele. The risk was increased both for seminoma & nonseminoma. PMID: 19776291
- crystal structure of 2-enoyl-CoA hydratase 2 PMID: 15644212
- Deficiency of this enzyme in man causes a severe developmental syndrome with abnormalities in several organs but in particular in the brain, leading to death within the first year of life. PMID: 16766224
- HSD17B4 is not only associated with the presence of prostate cancer, but is also a significant independent predictor of poor patient outcome. PMID: 19100308
- HSD17B4 mRNA is expressed in human skin, at similar levels in men and women. HSD17B4 levels are not altered by topical 17-beta-estradiol treatment. PMID: 18794456
顯示更多
收起更多
-
相關疾病:D-bifunctional protein deficiency (DBPD); Perrault syndrome 1 (PRLTS1)
-
亞細胞定位:Peroxisome.
-
蛋白家族:Short-chain dehydrogenases/reductases (SDR) family
-
組織特異性:Present in many tissues with highest concentrations in liver, heart, prostate and testis.
-
數據庫鏈接:
Most popular with customers
-
YWHAB Recombinant Monoclonal Antibody
Applications: ELISA, WB, IHC, IF, FC
Species Reactivity: Human, Mouse, Rat
-
Phospho-YAP1 (S127) Recombinant Monoclonal Antibody
Applications: ELISA, WB, IHC
Species Reactivity: Human
-
-
-
-
-
-















