CD19 Monoclonal Antibody
-
中文名稱:CD19鼠單克隆抗體
-
貨號:CSB-MA004888A1m
-
規格:¥1320
-
圖片:
-
Western Blot
Positive WB detected in: Raji whole cell lysate
All lanes: CD19 antibody at 1:2000
Secondary
Goat polyclonal to Mouse IgG at 1/10000 dilution
Predicted band size: 61 kDa
Observed band size: 95 kDa -
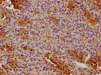
IHC image of CSB-MA004888A1m diluted at 1:100 and staining in paraffin-embedded human tonsil tissue performed on a Leica BondTM system. After dewaxing and hydration, antigen retrieval was mediated by high pressure in a citrate buffer (pH 6.0). Section was blocked with 10% normal goat serum 30min at RT. Then primary antibody (1% BSA) was incubated at 4°C overnight. The primary is detected by a biotinylated secondary antibody and visualized using an HRP conjugated SP system.
-
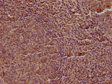
IHC image of CSB-MA004888A1m diluted at 1:100 and staining in paraffin-embedded human spleen tissue performed on a Leica BondTM system. After dewaxing and hydration, antigen retrieval was mediated by high pressure in a citrate buffer (pH 6.0). Section was blocked with 10% normal goat serum 30min at RT. Then primary antibody (1% BSA) was incubated at 4°C overnight. The primary is detected by a biotinylated secondary antibody and visualized using an HRP conjugated SP system.
-
Overlay histogram showing Raji cells stained with CSB-MA004888A1m (red line) at 1:50. The cells were incubated in 1x PBS /10% normal goat serum to block non-specific protein-protein interactions followed by primary antibody for 1 h at 4°C. The secondary antibody used was FITC goat anti-mouse IgG(H+L) at 1/200 dilution for 1 h at 4°C. Isotype control antibody (green line) was used under the same conditions. Acquisition of >10,000 events was performed.
-
-
其他:
產品詳情
-
產品描述:CD19單克隆抗體(CUSABIO貨號:CSB-MA004888A1m)是針對B細胞表面關鍵標記物CD19研發的高特異性科研試劑。CD19作為B淋巴細胞發育的核心調控蛋白,不僅參與B細胞受體信號通路的激活與增殖調控,更與自身免疫性疾病及B細胞惡性腫瘤(如急性淋巴細胞白血病、非霍奇金淋巴瘤)的發生發展密切相關。本產品經多種技術平臺驗證,適用于人源樣本的酶聯免疫吸附實驗(ELISA)、蛋白質印跡(WB)、免疫組化(IHC)和流式細胞術(FC)檢測,其單克隆特性確??乖砦蛔R別的高度一致性,配合嚴格的生產質控體系實現可靠的實驗結果重復性。在免疫學研究領域,該抗體可精準追蹤B細胞分化軌跡,解析腫瘤微環境中免疫細胞相互作用機制;在藥物研發中,能夠有效評估CD19靶向療法(如CAR-T細胞治療)的作用效果,為白血病發病機制研究、免疫檢查點抑制劑開發及新型生物標志物篩選提供關鍵技術支持。作為聚焦B細胞研究的優質工具,其多平臺兼容性可滿足從基礎科研到轉化醫學研究的多元化實驗需求。
-
產品名稱:Mouse anti-Homo sapiens (Human) CD19 Monoclonal antibody
-
Uniprot No.:
-
基因名:
-
別名:CD19; B-lymphocyte antigen CD19; B-lymphocyte surface antigen B4; Differentiation antigen CD19; T-cell surface antigen Leu-12; CD antigen CD19
-
宿主:Mouse
-
反應種屬:Human
-
免疫原:Recombinant Human CD19 protein (20-291AA)
-
免疫原種屬:Homo sapiens (Human)
-
標記方式:Non-conjugated
-
克隆類型:Monoclonal
-
抗體亞型:IgG2b
-
純化方式:>95%, Protein A purified
-
克隆號:4C6G1
-
濃度:It differs from different batches. Please contact us to confirm it.
-
保存緩沖液:Preservative: 0.03% Proclin 300
Constituents: 50% Glycerol, 0.01M PBS, PH 7.4 -
產品提供形式:Liquid
-
應用范圍:ELISA, WB, IHC, FC
-
推薦稀釋比:
Application Recommended Dilution WB 1:1000-1:5000 IHC 1:50-1:200 -
Protocols:
-
儲存條件:Upon receipt, store at -20°C or -80°C. Avoid repeated freeze.
-
貨期:Basically, we can dispatch the products out in 1-3 working days after receiving your orders. Delivery time maybe differs from different purchasing way or location, please kindly consult your local distributors for specific delivery time.
-
用途:For Research Use Only. Not for use in diagnostic or therapeutic procedures.
相關產品
靶點詳情
-
功能:Functions as coreceptor for the B-cell antigen receptor complex (BCR) on B-lymphocytes. Decreases the threshold for activation of downstream signaling pathways and for triggering B-cell responses to antigens. Activates signaling pathways that lead to the activation of phosphatidylinositol 3-kinase and the mobilization of intracellular Ca(2+) stores. Is not required for early steps during B cell differentiation in the blood marrow. Required for normal differentiation of B-1 cells. Required for normal B cell differentiation and proliferation in response to antigen challenges. Required for normal levels of serum immunoglobulins, and for production of high-affinity antibodies in response to antigen challenge.
-
基因功能參考文獻:
- diffuse large B cell lymphoma lacking CD19 or PAX5 expression were more likely to have mutant TP53. PMID: 28484276
- The impairment of Bregs and CD19+/BTLA+ cells could play an important pathogenic role in multiple sclerosis (MS). PMID: 27412504
- Inhibition of Akt signaling during ex vivo priming and expansion gives rise to CD19CAR T cell populations that display comparatively higher antitumor activity PMID: 28331616
- CD19-specific triplebody SPM-1 mediated potent lysis of cancer-derived B cell lines and primary cells from patients with various B-lymphoid malignancies. PMID: 27825135
- The increase in CD19+CD24+CD27+ Bregs was closely associated with fasting insulin secretion. PMID: 28440417
- The preclinical activity, safety and PK profile support clinical investigation of MGD011 (MGD011 is a CD19 x CD3 DART bispecific protein )as a therapeutic candidate for the treatment of B-cell malignancies PMID: 27663593
- this study shows that CD19 isoforms enable resistance to adoptive cellular immunotherapy PMID: 28441264
- Anti-CD19-chimeric antigen receptors T cells synergistically exerted collaborative cytotoxicity against primary double-hit lymphoma cells with anti-CD38-chimeric antigen receptors T cells. PMID: 28595585
- Two infants with relapsed, refractory B-cell acute lymphoblastic leukemia went into complete remission after being treated with CD19-targeting CAR T cells derived from an unmatched donor PMID: 28193774
- These data provide proof-of-principle for the view that newly generated Ab-secreting cells can acquire a mature plasma cell phenotype that is accompanied by loss of CD19 expression at an early stage of differentiation and that aging is not an obligate requirement for a CD19(neg) state to be established. PMID: 28490574
- Results indicate the strong efficacy of FLAG-tagged CD19 CAR-T cells in solid and hematological cancer models. PMID: 28410137
- The histological observations suggested that the patients represent diverse cases of NHL like mature B-cell type, mature T-cell type and high grade diffuse B-cell type NHL. The findings indicate that patients with NHL may also be analyzed for status of PAX5, CD19 and ZAP70, and their transcriptional and post-translational variants for the differential diagnosis of NHL and therapy. PMID: 27748274
- The frequencies of CD19+CD24hiCD38hi B-regulatory lymphocyte were significantly increased in children with beta-thalassemia. PMID: 26852663
- a CD45+/CD19 - cell population in bone marrow aspirates correlated with the clinical outcome of patients with mantle cell lymphoma. PMID: 25739938
- CD19 is required for TLR9-induced B-cell activation. Hence CD19/PI3K/AKT/BTK is an essential axis integrating BCRs and TLR9 signaling in human B cells. PMID: 26478008
- High anti-EBV IgG levels in Crohn's disease are associated with 5-aminosalicylic acid treatment, tonsillectomy, and decrease of CD19(+) cells. PMID: 25914477
- We propose that CD81 enables the maturation of CD19 and its trafficking to the membrane by regulating the exit of CD19 from the ER to the pre-Golgi compartment PMID: 25739915
- we outline our approach to nonviral gene transfer using the Sleeping Beauty system and the selective propagation of CD19-specific CAR(+) T cells on AaPCs PMID: 25591810
- We demonstrate that this motif plays a role in the maturation and recycling of CD19 but in a CD81-independent manner. PMID: 26111452
- Studies indicate that anti-CD19 and anti-CD33 bispecific antibodies showed anticancer activity. PMID: 25883042
- The synaptic recruitment of lipid rafts is dependent on CD19-PI3K module and cytoskeleton remodeling molecules. PMID: 25979433
- gene deficiency results in severe lung disease in French patient PMID: 24684239
- propose a multilayer model of plasma cell (PC) memory in which CD19(+) and CD19(-) PC represent dynamic and static components, respectively, permitting both adaptation and stability of humoral immune protection PMID: 25573986
- Suppression of innate and adaptive B cell activation pathways by antibody coengagement of FcgammaRIIb and CD19. PMID: 24828435
- Human CD19 and CD40L deficiencies impair antibody selection and differentially affect somatic hypermutation. PMID: 24418477
- A lower primary CD24(hi) CD27(+) CD19(+) B cells may be an immunologic aspect of new-onset SLE that may be a useful tool to evaluate lupus activity and monitor the response to therapy. PMID: 24286662
- higher percentage of CD19+ cells in patients with acute appendicitis; decreases after appendectomy PMID: 24375063
- CD20 and CD19 targeting vectors induce activating stimuli in resting B lymphocytes, which most likely renders them susceptible for lentiviral vector transduction. PMID: 24244415
- Latently infected cells from patients with multiple sclerosis, treated with natalizumab, initiate differentiation to CD19+ cells that favor growth of JC polyomavirus. PMID: 24664166
- This inhibitory function of FcgammaRIIB in impairing the spatial-temporal colocalization of BCR and CD19 microclusters in the B cell immunological synapse may help explain the hyper-reactive features of systemic lupus erythematosus PMID: 24790152
- Considering that the CD19 complex regulates the events following antigen stimulation, the change in CD19 complex detected in transient hypogammaglobulinemia of infancy may be related to insufficiency of antibody production. PMID: 22820757
- CD19 emerged as a powerful predictor of event-free and overall survival in CNS diffuse large B-cell lymphomas and Burkitt lymphomas PMID: 24501214
- these data demonstrate that CD19 and CD32b differentially inhibit B cell expansion and plasma cell differentiation, depending on the nature of the activating stimuli, when engaged with monospecific Abs. PMID: 24442430
- CD19 expression in acute leukemia is not restricted to the cytogenetically aberrant populations. PMID: 23193950
- CD19 is expressed very early in B-cell development and is a good target for antibody therapy in lymphoblastic leukemia. PMID: 23277329
- The resulting CD19(high)/CD19(low) B-cell ratio increased markedly in the milk-tolerant group. PMID: 22563781
- Use of c-Myc transgenic mice deficient in CD19 expression leads to identification of a c-Myc:CD19 regulatory loop that positively influences B cell transformation and lymphoma progression. PMID: 22826319
- Results obtained through a large cohort of European caucasian patients with systemic sclerosis do not support the contribution of CD19, CD20, CD22, CD24 variants to the genetic susceptibility. PMID: 21961844
- Data indicate that among MDS cases, CD15+ and CD19+ cell TLs were positively correlated, and PBL TL was was not associated with hTERT genotype. PMID: 21635204
- Studies showed the qualitative and quantitative expression of four target surface antigens, CD19, CD20, CD22, and CD33, for which MoAbs are currently available for clinical use, in ALL. PMID: 21348573
- Data show that CD45+CD19- MCL-ICs play a role in the drug resistance of MCL, and this drug resistance was largely due to quiescent properties with enriched ABC transporters. PMID: 21599592
- A missense mutation of CD19 in the conserved tryptophan 41 in immunoglobulin superfamily domain resulted in antibody deficiency. PMID: 21330302
- Data suggest that CD19 and CD33 are present on the surface of the leukemic cell lines such that they can be connected by a single sctb molecule. PMID: 21081841
- CD23 and CD19 are important factors that associated with serum total IgE in the pathogenesis of allergic rhinitis. PMID: 20359104
- binding sites for CD19 and CD16 have a role in antibody-dependent cellular cytotoxicity against B-lymphoid tumor cells PMID: 21339041
- Heterozygous loss of CD19 causes some changes in the naive B-cell compartment, but overall in vivo B-cell maturation or humoral immunity is not affected. PMID: 20445561
- Altered CD19/CD22 balance in Egyptian children and adolescents with systemic lupus erythematosus. PMID: 20726320
- The CD27(+) B-cell population was found to highly express CXCR3 in chronic hepatitis C (CHC), thus suggesting that the CD27(+) B-cell population was recruited from peripheral blood to the inflammatory site of the liver of CHC. PMID: 20377416
- Aberrant expression of CD19 in acute myeloblastic leukemia with t(8;21) involves a poised chromatin structure and PAX5. PMID: 20208555
- Studies indicate taht B lymphocytes proliferated when approximately 100 antigen receptors per cell, 0.03 percent of the total, were coligated with CD19. PMID: 20164433
顯示更多
收起更多
-
相關疾?。?/div>Immunodeficiency, common variable, 3 (CVID3)亞細胞定位:Cell membrane; Single-pass type I membrane protein. Membrane raft; Single-pass type I membrane protein.組織特異性:Detected on marginal zone and germinal center B cells in lymph nodes. Detected on blood B cells (at protein level).數據庫鏈接:
Most popular with customers
-
-
YWHAB Recombinant Monoclonal Antibody
Applications: ELISA, WB, IHC, IF, FC
Species Reactivity: Human, Mouse, Rat
-
Phospho-YAP1 (S127) Recombinant Monoclonal Antibody
Applications: ELISA, WB, IHC
Species Reactivity: Human
-
-
-
-
-















